Promotional price valid on web orders only. Your contract pricing may differ. Interested in signing up for a dedicated account number?
Learn More
Learn More
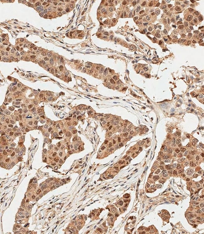
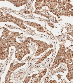
Invitrogen™ Ubiquitin Polyclonal Antibody

Rabbit Polyclonal Antibody
Supplier: Invitrogen™ PA511324
Description
This antibody is predicted to react with bovine, chicken, canine, hamster, mouse, porcine, non-human primate, rat, rabbit and Xenopus based on sequence homology.
Ubiquitin, a highly conserved protein that has a major role in targeting cellular proteins for degradation by the 26S proteosome, is synthesized as a precursor protein consisting of either polyubiquitin chains or a single ubiquitin fused to an unrelated protein. This gene encodes a fusion protein consisting of ubiquitin at the N terminus and ribosomal protein S27a at the C terminus. When expressed in yeast, the protein is post-translationally processed, generating free ubiquitin monomer and ribosomal protein S27a. Ribosomal protein S27a is a component of the 40S subunit of the ribosome and belongs to the S27AE family of ribosomal proteins. It contains C4-type zinc finger domains and is located in the cytoplasm. Pseudogenes derived from this gene are present in the genome. As with ribosomal protein S27a, ribosomal protein L40 is also synthesized as a fusion protein with ubiquitin; similarly, ribosomal protein S30 is synthesized as a fusion protein with the ubiquitin-like protein fubi. Multiple alternatively spliced transcript variants that encode the same proteins have been identified.
Specifications
| Ubiquitin | |
| Polyclonal | |
| PBS with 0.09% sodium azide; pH 7.4 | |
| P0CG47, P0CG48, P0CG49, P0CG50, P0CG51, P24051, P62979, P62982, P62983, P62984, P62986, P62987, Q63429, Q6ZWY3, Q71UM5 | |
| RPS27A, RPS27L, UBA52, UBB, UBC | |
| KLH conjugated synthetic peptide between 1-32 amino acids from the N-terminal region of human Ubiquitin. | |
| 400 μL | |
| Primary | |
| Human, Mouse, Rat, All species | |
| Antibody | |
| IgG |
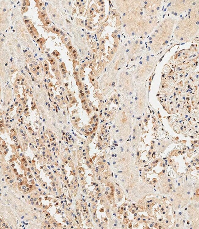
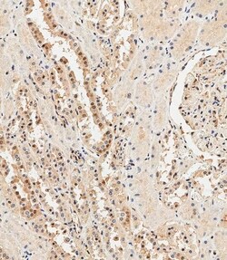
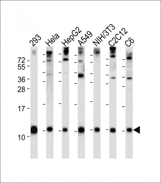
| Immunohistochemistry (Paraffin), Western Blot | |
| Unconjugated | |
| UBB | |
| 0610006J14Rik; 1810034D23Rik; 2700054O04Rik; 40S ribosomal protein S27a; 40S ribosomal protein S27-like; 40S ribosomal protein S27-like protein; AI194771; AL033289; CEP80; CG5271; CG5271-PA; Chap1; Dmel\CG5271; Dmel_CG5271; Dub80; epididymis luminal protein 112; epididymis secretory protein Li 50; HEL112; HEL-S-50; hm:zeh0386; HMG20; hPLIC-2; HRIHFB2157; HUBCEP52; ik:tdsubc_1f2; l(2)04820; l(2)31Ei; LOC100912032; LOC101747587; male female sterile 31; mfs(2)31; mfs(2)48; mfs48; OTTHUMP00000200786; OTTHUMP00000201692; PLIC-2; polyubiquitin; polyubiquitin B; polyubiquitin C; poly-ubiquitin precursor; polyubiquitin-B; Polyubiquitin-C; polyubiquitin-C-like; RE44350p; ribosomal protein S27; ribosomal protein S27 like; ribosomal protein S27A; ribosomal protein S27a L homeolog; ribosomal protein S27a S homeolog; ribosomal protein S27-like; ribosomal protein S27-like protein; RPL40; RpS27; Rps27a; rps27a.L; rps27a.S; RpS27A-PA; RPS27L; S27A; similar to polyubiquitin; similar to ubiquitin-S27a fusion protein; Small ribosomal subunit protein eS27-like; Small ribosomal subunit protein eS31; tdsubc_1f2; TI-225; UB3-D; Uba52; UBA80; UBB; Ubb2; UBC; UBCEP1; UBCEP80; Ubi-f80; Ubi-m; Ubiq; Ubiquilin 2; ubiquitin; ubiquitin (34 AA) (1 is 2nd base in codon); ubiquitin and ribosomal protein S27a; ubiquitin B; ubiquitin C; ubiquitin carboxyl extension protein 80; ubiquitin copy 4; ubiquitin fusion 80; ubiquitin polyprotein (heat shock related); ubiquitin/ribosomal protein; ubiquitin-40S ribosomal protein S27a; ubiquitin-40S ribosomal protein S27a-like; ubiquitin-CEP80; ubiquitin-hybrid protein precursor; Ubiquitin-monomeric; Ubiquitin-related; Ubiquitin-related 1; Ubiquitin-related 2; ubiquitin-S27a fusion protein; Unknown (protein for MGC:127652); unnamed protein product; XELAEV_18028796mg; xx:tdsubc_1f2; zgc:66168; zgc:66168 protein | |
| Rabbit | |
| Ammonium sulfate precipitation, Antigen affinity chromatography, Size-exclusion - Dialysis | |
| RUO | |
| 100912032, 192255, 22186, 22187, 22190, 50522, 51065, 6233, 64156, 67941, 681429, 7311, 7314, 7316, 78294 | |
| Store at 4°C short term. For long term storage, store at -20°C, avoiding freeze/thaw cycles. | |
| Liquid |
Safety and Handling
WARNING: Cancer - www.P65Warnings.ca.gov
Product Content Correction
Your input is important to us. Please complete this form to provide feedback related to the content on this product.
Product Title
Spot an opportunity for improvement?Share a Content Correction