Learn More
Ubiquitin Rabbit anti-Bovine, Human, Mouse, Polyclonal, Bethyl Laboratories
Rabbit Polyclonal Antibody
Supplier: Bethyl Laboratories, Inc A300317A

Description
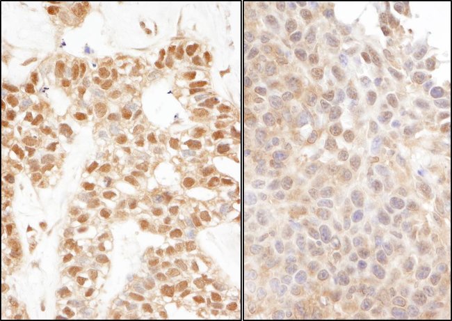
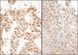
The recommended shelf life for this product is 1 year from date of receipt. Application Note: For IHC, epitope retrieval with Tris-EDTA pH 9.0 is recommended for FFPE tissue sections. Based on 100% sequence identity, this antibody is predicted to react with Rat, D. melanogaster, X. laevis, Chicken, Sheep, Dog, Horse, Rabbit, Guinea pig_10141, Pig, Cat, Gorilla and Chimpanzee
Ubiquitin, a highly conserved protein that has a major role in targeting cellular proteins for degradation by the 26S proteosome, is synthesized as a precursor protein consisting of either polyubiquitin chains or a single ubiquitin fused to an unrelated protein. This gene encodes a fusion protein consisting of ubiquitin at the N terminus and ribosomal protein S27a at the C terminus. When expressed in yeast, the protein is post-translationally processed, generating free ubiquitin monomer and ribosomal protein S27a. Ribosomal protein S27a is a component of the 40S subunit of the ribosome and belongs to the S27AE family of ribosomal proteins. It contains C4-type zinc finger domains and is located in the cytoplasm. Pseudogenes derived from this gene are present in the genome. As with ribosomal protein S27a, ribosomal protein L40 is also synthesized as a fusion protein with ubiquitin; similarly, ribosomal protein S30 is synthesized as a fusion protein with the ubiquitin-like protein fubi.Specifications
Ubiquitin | |
Polyclonal | |
Unconjugated | |
UBA52 | |
CEP52, HUBCEP52, L40, RPL40, 60S ribosomal protein L40, ubiquitin carboxyl extension protein 52, ubiquitin-52 amino acid fusion protein, ubiquitin-60S ribosomal protein L40, ubiquitin-CEP52 | |
Rabbit | |
Antigen affinity chromatography | |
RUO | |
22186, 615199, 7311 | |
4° C | |
Liquid |
Immunohistochemistry, Western Blot | |
1 mg/ml | |
phosphate, tris citrate with 0.09% sodium azide; pH 7-8 | |
P62984, P62987, P63048 | |
UBA52 | |
Between 1 and 50 | |
100 μL | |
Primary | |
Bovine, Human, Mouse | |
Antibody | |
IgG |
The Fisher Scientific Encompass Program offers items which are not part of our distribution portfolio. These products typically do not have pictures or detailed descriptions. However, we are committed to improving your shopping experience. Please use the form below to provide feedback related to the content on this product.