Learn More
Invitrogen™ UBXN1 Polyclonal Antibody

Rabbit Polyclonal Antibody
Supplier: Invitrogen™ PA552967
Description
Immunogen sequence: MAELTALESL IEMGFPRGRA EKALALTGNQ GIEAAMDWLM EHEDDPDVDE PLETPLGHIL GREPTSSEQG GLEGSGSAAG EGKPALSEEE RQEQTKRMLE LVAQKQRERE EREEREALER ERQRRRQGQE LSAARQRLQE DEMRRAAEER Highest antigen sequence identity to the following orthologs: Mouse - 92%, Rat - 93%.
Ubiquitin-binding protein that plays a role in the modulation of innate immune response. Blocks both the RIG-I-like receptors (RLR) and NF-kappa-B pathways. Following viral infection, UBXN1 is induced and recruited to the RLR component MAVS. In turn, interferes with MAVS oligomerization, and disrupts the MAVS/TRAF3/TRAF6 signalosome. This function probably serves as a brake to prevent excessive RLR signaling (PubMed:23545497). Interferes with the TNFalpha-triggered NF-kappa-B pathway by interacting with cellular inhibitors of apoptosis proteins (cIAPs) and thereby inhibiting their recruitment to TNFR1 (PubMed:25681446). Prevents also the activation of NF-kappa-B by associating with CUL1 and thus inhibiting NF-kappa-B inhibitor alpha/NFKBIA degradation that remains bound to NF-kappa-B (PubMed:28152074). Interacts with the BRCA1-BARD1 heterodimer and regulates its activity. Specifically binds 'Lys-6'-linked polyubiquitin chains. Interaction with autoubiquitinated BRCA1 leads to the inhibition of the E3 ubiquitin-protein ligase activity of the BRCA1-BARD1 heterodimer (PubMed:20351172). Component of a complex required to couple deglycosylation and proteasome-mediated degradation of misfolded proteins in the endoplasmic reticulum that are retrotranslocated in the cytosol. [UniProt].
Specifications
UBXN1 | |
Polyclonal | |
Unconjugated | |
UBXN1 | |
2B28; 4930455J02Rik; D19Ertd721e; mY33K; Protein 2B28; RGD1309471; SAKS1; SAPK substrate protein 1; T25529; UBA/UBX 33.3 kDa protein; UBX domain protein 1; UBX domain-containing protein 1; UBXD10; UBXN1 | |
Rabbit | |
Antigen Affinity Chromatography | |
RUO | |
225896, 293719, 51035 | |
Store at 4°C short term. For long term storage, store at -20°C, avoiding freeze/thaw cycles. | |
Liquid |
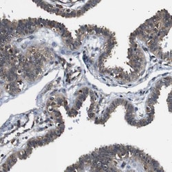
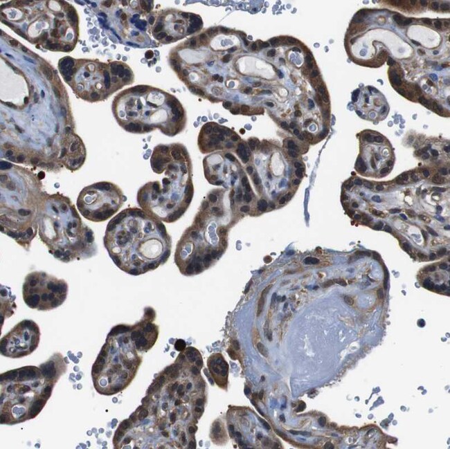
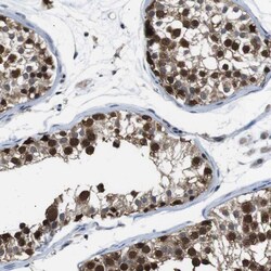
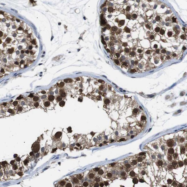
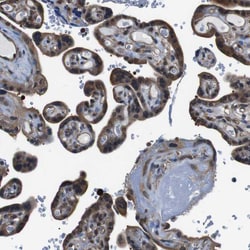
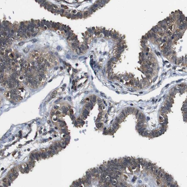
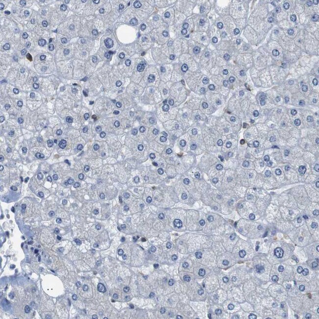
Immunohistochemistry (Paraffin), Western Blot, Immunocytochemistry | |
0.1 mg/mL | |
PBS with 40% glycerol and 0.02% sodium azide; pH 7.2 | |
Q04323, Q499N6, Q922Y1 | |
UBXN1 | |
Recombinant protein corresponding to Human UBXN1. Recombinant protein control fragment (Product #RP-88780). | |
100 μL | |
Primary | |
Human, Mouse, Rat | |
Antibody | |
IgG |
Your input is important to us. Please complete this form to provide feedback related to the content on this product.