Learn More
Description
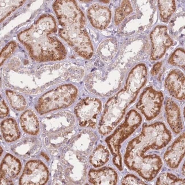
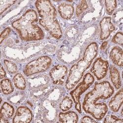
Specifications
Specifications
| Antigen | UCMA |
| Applications | Immunohistochemistry, Immunohistochemistry (Paraffin) |
| Classification | Polyclonal |
| Conjugate | Unconjugated |
| Dilution | Immunohistochemistry, Immunohistochemistry-Paraffin 1:500 - 1:1000 |
| Formulation | PBS (pH 7.2) and 40% Glycerol with 0.02% Sodium Azide |
| Gene Accession No. | Q8WVF2 |
| Gene Alias | C10orf49, chromosome 10 open reading frame 49, Gla-rich protein, GRP, unique cartilage matrix-associated protein, upper zone of growth plate and cartilage matrix associated |
| Gene Symbols | UCMA |
| Host Species | Rabbit |
| Show More |
For Research Use Only
By clicking Submit, you acknowledge that you may be contacted by Fisher Scientific in regards to the feedback you have provided in this form. We will not share your information for any other purposes. All contact information provided shall also be maintained in accordance with our Privacy Policy.
