Promotional price valid on web orders only. Your contract pricing may differ. Interested in signing up for a dedicated account number?
Learn More
Learn More
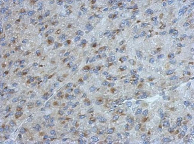
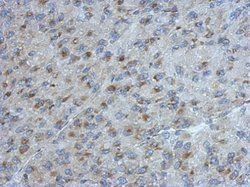
Invitrogen™ UGGT2 Polyclonal Antibody

Rabbit Polyclonal Antibody
Supplier: Invitrogen™ PA527960
Description
Recommended positive controls: HeLa. Store product as a concentrated solution. Centrifuge briefly prior to opening the vial.
UDP-glucose:glycoprotein glucosyltransferase (UGT) is a soluble protein of the endoplasmic reticulum (ER) that selectively reglucosylates unfolded glycoproteins, thus providing quality control for protein transport out of the ER.
Specifications
| UGGT2 | |
| Polyclonal | |
| Unconjugated | |
| UGGT2 | |
| HUGT2; UDP-Glc:glycoprotein glucosyltransferase 2; UDP--Glc:glycoprotein glucosyltransferase 2; UDP-glucose ceramide glucosyltransferase-like 1; UDP-glucose ceramide glucosyltransferase-like 2; UDP-glucose glycoprotein glucosyltransferase 2; UDP-glucose:glycoprotein glucosyltransferase 2; UGCGL2; UGGT2; UGT2 | |
| Rabbit | |
| Antigen affinity chromatography | |
| RUO | |
| 55757 | |
| Store at 4°C short term. For long term storage, store at -20°C, avoiding freeze/thaw cycles. | |
| Liquid |
| Immunohistochemistry (Paraffin), Western Blot, Immunocytochemistry | |
| 1 mg/mL | |
| PBS with 20% glycerol and 0.01% thimerosal; pH 7 | |
| Q9NYU1 | |
| UGGT2 | |
| Recombinant protein encompassing a sequence within the center region of human UGCGL2. The exact sequence is proprietary. | |
| 100 μL | |
| Primary | |
| Human | |
| Antibody | |
| IgG |
Product Content Correction
Your input is important to us. Please complete this form to provide feedback related to the content on this product.
Product Title
Spot an opportunity for improvement?Share a Content Correction