Promotional price valid on web orders only. Your contract pricing may differ. Interested in signing up for a dedicated account number?
Learn More
Learn More
Invitrogen™ UGT2B15 Polyclonal Antibody

Rabbit Polyclonal Antibody
Supplier: Invitrogen™ PA5120473
This item is not returnable.
View return policy
Description
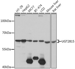
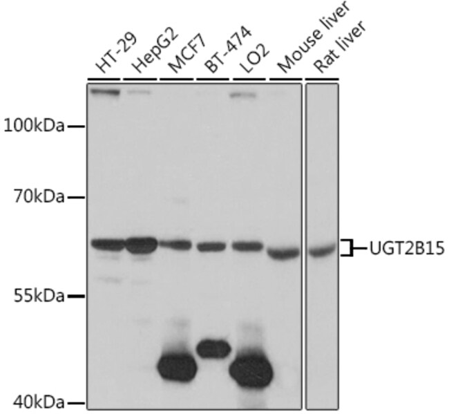
Positive test controls include: HT-29, HepG2, MCF7, BT-474, LO2, mouse liver, rat liver. Immunogen sequence: ASTLVNASKS SAIKLEVYPT SLTKNYLEDS LLKILDRWIY GVSKNTFWSY FSQLQELCWE YYDYSNKLCK DAVLNKKLMM KLQESKFDVI LADALNPCGE LLAELFNIPF LYSLRFSVGY TFEKNGGGFL F.
The UGTs are of major importance in the conjugation and subsequent elimination of potentially toxic xenobiotics and endogenous compounds. UGT2B8 demonstrates reactivity with estriol. The UGTs are of major importance in the conjugation and subsequent elimination of potentially toxic xenobiotics and endogenous compounds. UGT2B8 demonstrates reactivity with estriol. See UGT2B4 (MIM 600067).[supplied by OMIM]. Publication Note: This RefSeq record includes a subset of the publications that are available for this gene. Please see the Entrez Gene record to access additional publications.
Specifications
| UGT2B15 | |
| Polyclonal | |
| Unconjugated | |
| UGT2B15 | |
| HLUG4; UDP glucuronosyltransferase 2 family, polypeptide B15; UDP glucuronosyltransferase family 2 member B15; UDP glycosyltransferase 2B15; UDP-glucuronosyltransferase 2B15; UDP-glucuronosyltransferase 2B8; UDP-glucuronosyltransferase UGT2B15; UDP-glucuronyltransferase, family 2, beta-15; UDPGT 2B15; UDPGT 2B8; UDPGT2B15; UDPGTH3; UDPGTh-3; UGT2B15; UGT2B8 | |
| Rabbit | |
| Affinity chromatography | |
| RUO | |
| 7366 | |
| -20°C, Avoid Freeze/Thaw Cycles | |
| Liquid |
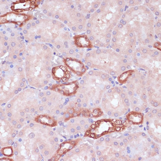
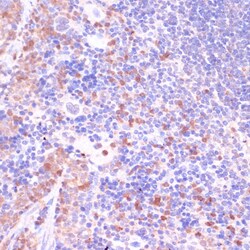
| ELISA, Immunohistochemistry (Paraffin), Western Blot | |
| 0.58 mg/mL | |
| PBS with 50% glycerol and 0.01% thimerosal; pH 7.3 | |
| P54855 | |
| UGT2B15 | |
| Recombinant fusion protein containing a sequence corresponding to amino acids 60-190 of human UGT2B15 (NP_001067.2). | |
| 100 μL | |
| Primary | |
| Human, Mouse, Rat | |
| Antibody | |
| IgG |
Product Content Correction
Your input is important to us. Please complete this form to provide feedback related to the content on this product.
Product Title
Spot an opportunity for improvement?Share a Content Correction