Promotional price valid on web orders only. Your contract pricing may differ. Interested in signing up for a dedicated account number?
Learn More
Learn More
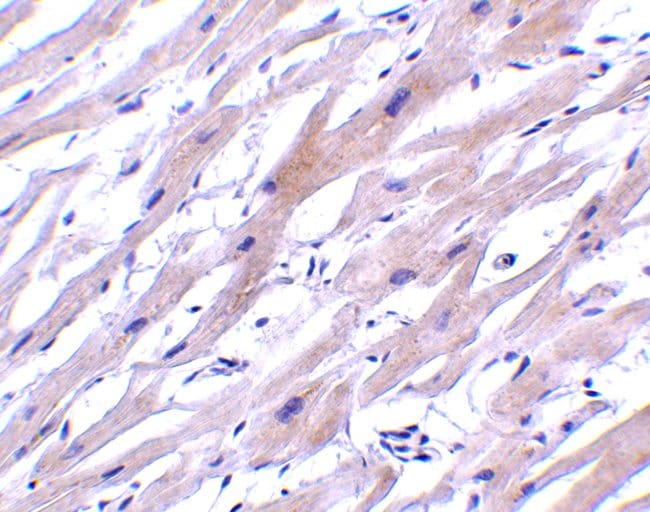
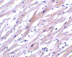
Invitrogen™ UNG Polyclonal Antibody

Rabbit Polyclonal Antibody
Supplier: Invitrogen™ PA520265
Description
A suggested positive control is C2C12 cell lysate. PA5-20265 can be used with blocking peptide PEP-0380.
The human UNG gene encodes both nuclear (UNG2) and mitochondrial (UNG1) forms of uracil-DNA glycosylase. These forms are generated by alternative splicing and the use of two differentially regulated promoters, PA and PB. The cDNAs for UNG1 and UNG2 are of similar size (2061 and 2058 bp, respectively) and as a result the corresponding mRNAs are not resolved as two species in gel electrophoresis. Nuclear UNG2 differs from mitochondrial UNG1 in 44 amino acids of the N-terminal sequence that is not necessary for catalytic activity. A major role of the UNG gene products is to repair mutagenic U:G mispairs caused by cytosine deamination. For example, UNG2 removes misincorporated dUMP residues. The level and expression pattern of UNG1 and UNG2 differs between cell and tissue type. Additionally, the expression of UNG is cell cycle regulated. The expression and activity of UNG has been found in general to be higher in proliferating as compared to nonproliferating tissues and cells. UNG1 is a 304 amino acid protein. UNG2 is a 313 amino acid protein.
Specifications
UNG | |
Polyclonal | |
Unconjugated | |
Ung | |
DGU; DKFZp781L1143; HIGM4; HIGM5; UDG; UNG; Ung1; UNG15; UNG2; unga; uracil DNA glycosylase; uracil DNA glycosylase a; uracil-DNA glycosylase; uracil-DNA glycosylase 1, uracil-DNA glycosylase 2; uracil-DNA glycosylase isoform UNG1; uracil-DNA glycosylase isoform UNG2; uracil-DNA glycosylase nuclear isoform; zgc:56102 | |
Rabbit | |
Antigen affinity chromatography | |
RUO | |
22256, 304577, 7374 | |
Maintain refrigerated at 2°C to 8°C for up to 3 months. For long term storage store at -20°C | |
Liquid |
Immunohistochemistry (Paraffin), Western Blot | |
1 mg/mL | |
PBS with 0.02% sodium azide | |
P13051, P97931 | |
Ung | |
A 13 amino acid peptide from near the amino terminus of human UNG1. | |
100 μg | |
Primary | |
Human, Mouse, Rat | |
Antibody | |
IgG |
Safety and Handling
WARNING: Cancer - www.P65Warnings.ca.gov
Product Content Correction
Your input is important to us. Please complete this form to provide feedback related to the content on this product.
Product Title
Spot an opportunity for improvement?Share a Content Correction