Learn More
Invitrogen™ USP44 Polyclonal Antibody

Rabbit Polyclonal Antibody
Supplier: Invitrogen™ PA5143988
Description
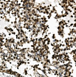
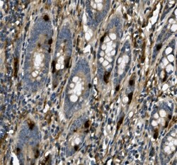
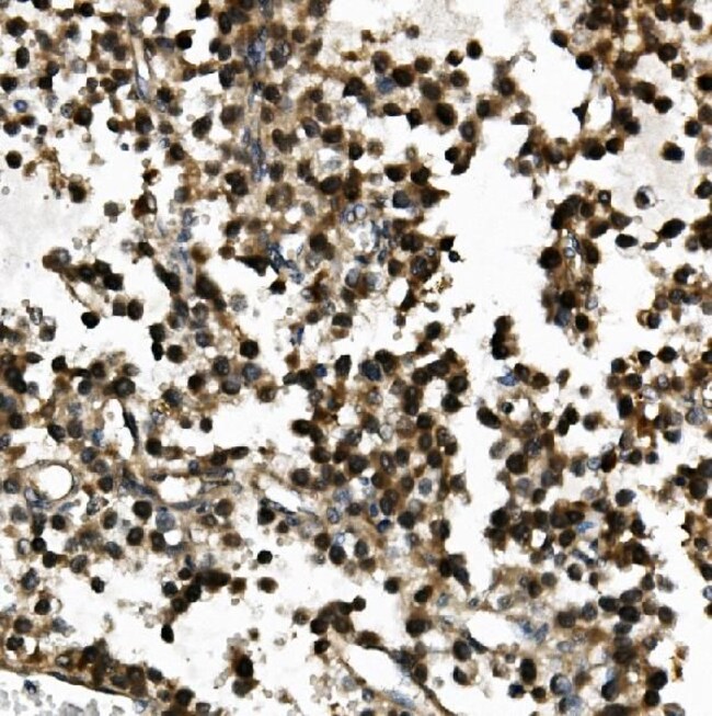
Adding 0.2 mL of distilled water will yield a concentration of 500 μg/mL. Positive Control - WB: rat testis tissue, mouse testis tissue. IHC: human testicular cancer tissue, human rectal cancer tissue. ICC/IF: A431 cell. Flow: A431 cell. Store at -20°C for one year from date of receipt. After reconstitution, at 4°C for one month. It can also be aliquotted and stored frozen at -20°C for six months. Avoid repeated freeze-thaw cycles.
Modification of cellular proteins by ubiquitin is an essential regulatory mechanism controlled by the coordinated action of multiple ubiquitin-conjugating and deubiquitinating enzymes. USP44 belongs to a large family of cysteine proteases that function as deubiquitinating enzymes.[supplied by OMIM, Mar 2008].
Specifications
| USP44 | |
| Polyclonal | |
| Unconjugated | |
| USP44 | |
| Deubiquitinating enzyme 44; E430004F17Rik; hypothetical protein MGC55661; inactive deubiquitinating enzyme 44; inactive ubiquitin carboxyl-terminal hydrolase 44; inactive ubiquitin thioesterase 44; inactive ubiquitin-specific-processing protease 44; LOW QUALITY PROTEIN: ubiquitin carboxyl-terminal hydrolase 44; ubiquitin carboxyl-terminal hydrolase 44; ubiquitin specific peptidase 44; ubiquitin specific peptidase 49 pseudogene; ubiquitin specific protease 44; ubiquitin thioesterase 44; ubiquitin thiolesterase 44; ubiquitin-specific-processing protease 44; USP44; zgc:55661 | |
| Rabbit | |
| Antigen affinity chromatography | |
| RUO | |
| 314746, 327799, 84101 | |
| -20°C | |
| Lyophilized |
| ELISA, Flow Cytometry, Immunohistochemistry (Paraffin), Western Blot, Immunocytochemistry | |
| 500 μg/mL | |
| PBS with 4mg trehalose and 0.05mg sodium azide | |
| Q8C2S0, Q9H0E7 | |
| USP44 | |
| E.coli-derived human USP44 recombinant protein (Position: R211-S712). | |
| 100 μg | |
| Primary | |
| Human, Mouse, Rat | |
| Antibody | |
| IgG |
Your input is important to us. Please complete this form to provide feedback related to the content on this product.