Promotional price valid on web orders only. Your contract pricing may differ. Interested in signing up for a dedicated account number?
Learn More
Learn More
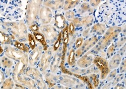
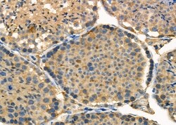
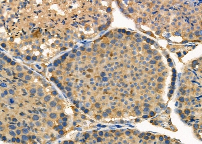
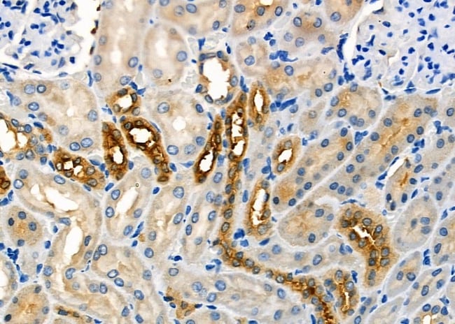
Invitrogen™ USP45 Polyclonal Antibody

Rabbit Polyclonal Antibody
Supplier: Invitrogen™ PA5101946
Description
Antibody detects endogenous levels of total USP45.
The protein encoded by this gene is a deubiquitylase that binds ERCC1, the catalytic subunit of the XPF-ERCC1 DNA repair endonuclease. This endonuclease is a critical regulator of DNA repair processes, and the deubiquitylase activity of the encoded protein is important for maintaining the DNA repair ability of XPF-ERCC1.
Specifications
USP45 | |
Polyclonal | |
Unconjugated | |
Usp45 | |
3110003C05Rik; 4930550B20Rik; AI843191; Deubiquitinating enzyme 45; Gcap7; granule cell antiserum positive 7; ubiquitin carboxyl-terminal hydrolase 45; ubiquitin specific peptidase 45; ubiquitin specific petidase 45; ubiquitin specific protease 45; ubiquitin thioesterase 45; ubiquitin thiolesterase 45; ubiquitin-specific-processing protease 45; USP45 | |
Rabbit | |
Affinity chromatography | |
RUO | |
313098, 77593, 85015 | |
-20°C | |
Liquid |
Immunohistochemistry (Paraffin), Western Blot, Immunocytochemistry | |
1 mg/mL | |
PBS with 50% glycerol and 0.02% sodium azide; pH 7.4 | |
Q70EL2, Q8K387 | |
Usp45 | |
A synthesized peptide derived from human USP45(Accession Q70EL2), corresponding to amino acid residues E309-T359. | |
100 μL | |
Primary | |
Human, Mouse, Rat | |
Antibody | |
IgG |
Safety and Handling
WARNING: Cancer - www.P65Warnings.ca.gov
Product Content Correction
Your input is important to us. Please complete this form to provide feedback related to the content on this product.
Product Title
Spot an opportunity for improvement?Share a Content Correction