Learn More
Invitrogen™ USP7 Polyclonal Antibody

Description
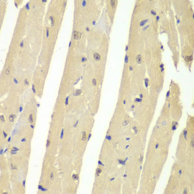
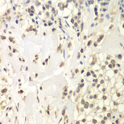
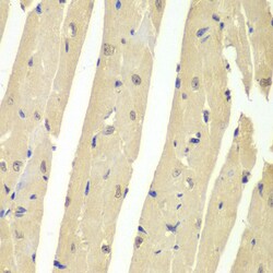
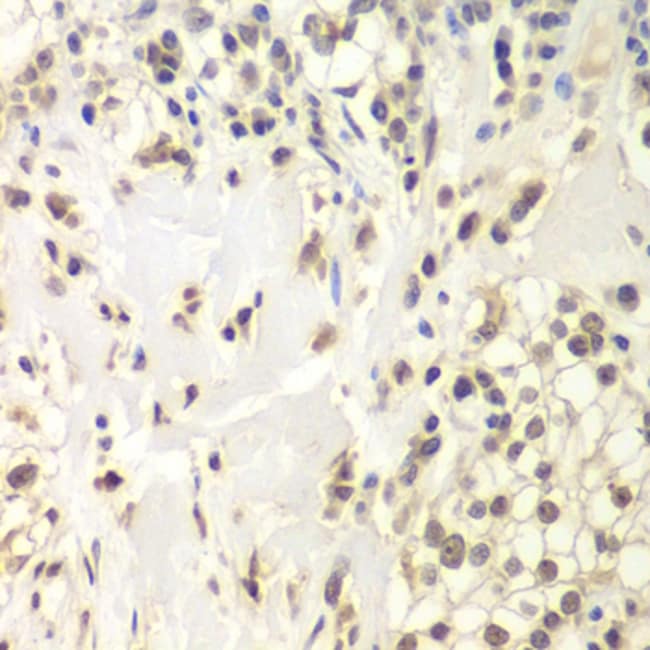
Immunogen sequence: DSKKHTGYVG LKNQGATCYM NSLLQTLFFT NQLRKAVYMM PTEGDDSSKS VPLALQRVFY ELQHSDKPVG TKKLTKSFGW ETLDSFMQHD VQELCRVLLD NVENKMKGTC VEGTIPKLFR GKMVSYIQCK EVDYRSDRRE DYYDIQLSIK GKKNIFESFV DYVAVEQLDG DNKYDAGEHG LQEAEKGVKF LTLPPVLHLQ LMRFMYDPQT DQNIKINDRF EFPEQLPLDE FLQKTDPKDP ANYILHAVLV HSGDNHGGHY VVYLNPKGDG KWCKFDDDVV SRCTKEEAIE HNYGGHDDDL SVRHCTNAYM LVYIRESKLS EVLQAVTDHD IPQQLVERLQ EEKRIEAQKR KERQEAHLYM QVQIVAEDQF CGHQGNDMYD EEKVKYTVFK VLKNSSLAEF VQSLSQTMGF PQDQIRLWPM QARSNGTKRP AMLDNEADGN KTMIELSDNE NPWTIFLETV DPELAASGAT LPKFDKDHDV MLFLKMYDPK TRSLNYCGHI YTPISCKIRD LLPVMCDRAG FIQDTSLILY EEVKPNLTER IQDYDVSLDK ALDELMDGDI IVFQKDDPEN DNSELPTAKE YFRDLYHRVD VIFCDKTIPN DPGFVVTLSN RMNYFQVAKT VAQRLNTDPM LLQFFKSQGY RDGPGNPLRH NYEGTLRDLL QFFKPRQPKK LYYQQLKMKI TDFENRRSFK CIWLNSQFRE EEITLYPDKH GCVRDLLEEC KKAVELGEKA SGKLRLLEIV SYKIIGVHQE DELLECLSPA TSRTFRIEEI PLDQVDIDKE NEMLVTVAHF HKEVFGTFGI PFLLRIHQGE HFREVMKRIQ SLLDIQEKEF EKFKFAIVMM GRHQYINEDE YEVNLKDFEP QPGNMSHPRP WLGLDHFNKA PKRSRYTYLE KAIKIHN; Positive Samples: HepG2, Rat testis; Cellular Location: Cytoplasm, Nucleus, PML body.
Specifications
Specifications
| Antigen | USP7 |
| Applications | ELISA, Immunohistochemistry (Paraffin), Western Blot, Immunocytochemistry |
| Classification | Polyclonal |
| Concentration | 3.53 mg/mL |
| Conjugate | Unconjugated |
| Formulation | PBS with 50% glycerol and 0.02% sodium azide; pH 7.3 |
| Gene | USP7 |
| Gene Accession No. | Q4VSI4, Q6A4J8, Q93009 |
| Gene Alias | 2210010O09Rik; AA409944; AA617399; AU019296; AW548146; C80752; deubiquitinating enzyme 7; Hausp; Herpes virus-associated ubiquitin-specific protease; herpes-virus-associated ubiquitin-specific protease; herpesvirus-associated ubiquitin-specific protease; mHAUSP; protease; rHAUSP; TEF1; Ubiquitin carboxyl-terminal hydrolase 7; ubiquitin specific peptidase 7; ubiquitin specific peptidase 7 (herpes virus-associated); ubiquitin specific protease 7; ubiquitin specific protease 7 (herpes virus-associated); ubiquitin thioesterase 7; ubiquitin thiolesterase 7; ubiquitin-specific-processing protease 7; UBP; USP7 |
| Gene Symbols | USP7 |
| Show More |
Safety and Handling
By clicking Submit, you acknowledge that you may be contacted by Fisher Scientific in regards to the feedback you have provided in this form. We will not share your information for any other purposes. All contact information provided shall also be maintained in accordance with our Privacy Policy.