Promotional price valid on web orders only. Your contract pricing may differ. Interested in signing up for a dedicated account number?
Learn More
Learn More
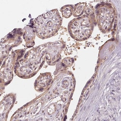
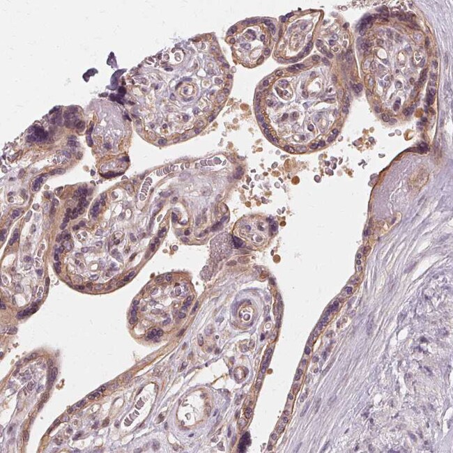
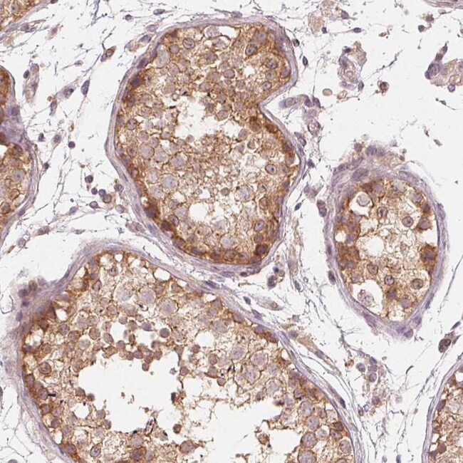
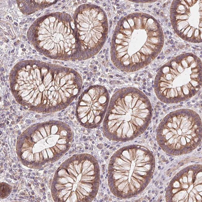
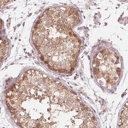
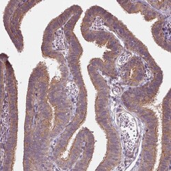
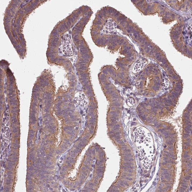
Invitrogen™ USP8 Polyclonal Antibody

Rabbit Polyclonal Antibody
Supplier: Invitrogen™ PA5111308
Description
Immunogen sequence: KRPDFKQQQD YFHSILGPGN IKKAVEEAER LSESLKLRYE EAEVRKKLEE KDRQEEAQRL QQKRQETGRE DGGTLAKGSL ENVLDSKDKT QKSNGEKNEK CETKEKGAIT AKELYTMMTD.
USP8 is a ubiquitin specific protease that plays an important regulatory role at the level of protein turnover by preventing degradation. USP8 is involved in cell proliferation, and probably regulates the stability of STAM2 and RASGRF1. USP8 may regulate T-cell energy mediated by RNF128 via the formation of a complex containing RNF128 and STAM2. As revealed by structure/function studies, USP8 forms a ternary complex with RNF128 and OTUB1, and interacts with the SH3 domain of STAM2 and RASGRF1. Expression of USP8 is induced Upon growth stimulation in starved human fibroblasts, and expression decreases in response to growth arrest induced by cell-cell contact.
Specifications
| USP8 | |
| Polyclonal | |
| Unconjugated | |
| USP8 | |
| AI574262; AW557536; Deubiquitinating enzyme 8; hUBPy; HumORF8; Kiaa0055; mKIAA0055; mUBPy; putative deubiquitinating enzyme; SPG59; Ubiquitin carboxyl-terminal hydrolase 8; ubiquitin isopeptidase Y; ubiquitin specific peptidase 8; ubiquitin specific protease 8; ubiquitin thioesterase 8; ubiquitin thiolesterase 8; ubiquitin-specific-processing protease 8; Ubpy; USP8 | |
| Rabbit | |
| Antigen affinity chromatography | |
| RUO | |
| 9101 | |
| Store at 4°C short term. For long term storage, store at -20°C, avoiding freeze/thaw cycles. | |
| Liquid |
| Immunohistochemistry (Paraffin), Immunocytochemistry | |
| 0.20 mg/mL | |
| PBS with 40% glycerol and 0.02% sodium azide; pH 7.2 | |
| P40818 | |
| USP8 | |
| Recombinant Protein corresonding to Human USP8. Recombinant protein control fragment (Product #RP-106263). | |
| 100 μL | |
| Primary | |
| Human | |
| Antibody | |
| IgG |
Product Content Correction
Your input is important to us. Please complete this form to provide feedback related to the content on this product.
Product Title
Spot an opportunity for improvement?Share a Content Correction