Promotional price valid on web orders only. Your contract pricing may differ. Interested in signing up for a dedicated account number?
Learn More
Learn More
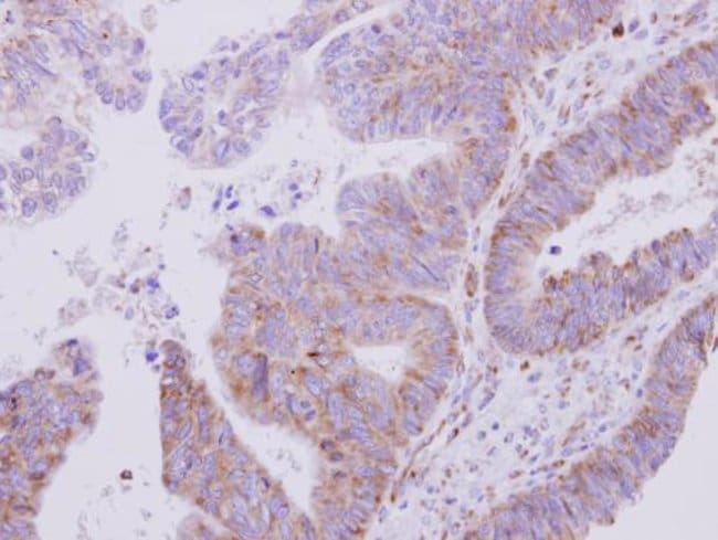
Invitrogen™ VARS Polyclonal Antibody

Rabbit Polyclonal Antibody
Supplier: Invitrogen™ PA530251
Description
Recommended positive controls: A549, HeLa, HepG2, HCT116. Predicted reactivity: Mouse (84%), Rat (86%), Pig (91%). Store product as a concentrated solution. Centrifuge briefly prior to opening the vial.
Aminoacyl-tRNA synthetases catalyze the aminoacylation of tRNA by their cognate amino acid. Because of their central role in linking amino acids with nucleotide triplets contained in tRNAs, aminoacyl-tRNA synthetases are thought to be among the first proteins that appeared in evolution. This protein belongs to the class-I aminoacyl-tRNA synthetase family and is located in the class III region of the major histocompatibility complex.
Specifications
| VARS | |
| Polyclonal | |
| Unconjugated | |
| VARS1 | |
| Bat6; D17H6S56E; EC 6.1.1.9; G7A; Protein G7a; TrsVal; valine tRNA ligase 1, cytoplasmic; valine--tRNA ligase; ValRS; valyl trna synthetase; valyl-tRNA synthetase; valyl-tRNA synthetase 2; VARS; VARS1; VARS2 | |
| Rabbit | |
| Antigen affinity chromatography | |
| RUO | |
| 7407 | |
| Store at 4°C short term. For long term storage, store at -20°C, avoiding freeze/thaw cycles. | |
| Liquid |
| Immunohistochemistry (Paraffin), Western Blot, Immunocytochemistry | |
| 0.96 mg/mL | |
| 0.1M tris glycine with 20% glycerol and 0.01% thimerosal; pH 7 | |
| P26640 | |
| VARS1 | |
| Recombinant protein encompassing a sequence within the N-terminus region of human Valyl tRNA synthetase. The exact sequence is proprietary. | |
| 100 μL | |
| Primary | |
| Human | |
| Antibody | |
| IgG |
Safety and Handling
WARNING: Cancer - www.P65Warnings.ca.gov
Product Content Correction
Your input is important to us. Please complete this form to provide feedback related to the content on this product.
Product Title
Spot an opportunity for improvement?Share a Content Correction