Learn More
Invitrogen™ VAV3 Recombinant Rabbit Monoclonal Antibody (9A10D8)

Description
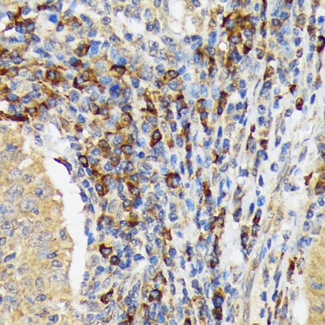
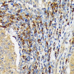
Positive test controls include: Jurkat, Mouse brain. Immunogen sequence: TKESGEYAIS IKYNNEAKHI KILTRDGFFH IAENRKFKSL MELVEYYKHH SLKEGFRTLD TTLQFPYKEP EHSAGQRGNR AGNSLLSPKV LGIAIARYDF C.
Specifications
Specifications
| Antigen | VAV3 |
| Applications | ELISA, Immunohistochemistry (Paraffin), Western Blot |
| Classification | Recombinant Monoclonal |
| Clone | 9A10D8 |
| Concentration | 0.66 mg/mL |
| Conjugate | Unconjugated |
| Formulation | PBS with 0.05% BSA, 50% glycerol and 0.02% sodium azide; pH 7.3 |
| Gene | VAV3 |
| Gene Accession No. | Q9R0C8, Q9UKW4 |
| Gene Alias | A530094I06Rik; AA986410; FLJ40431; guanine nucleotide exchange factor VAV3; Idd18.1; RGD1565941; vav 3 guanine nucleotide exchange factor; vav 3 oncogene; vav guanine nucleotide exchange factor 3; Vav3; VAV-3 |
| Show More |
By clicking Submit, you acknowledge that you may be contacted by Fisher Scientific in regards to the feedback you have provided in this form. We will not share your information for any other purposes. All contact information provided shall also be maintained in accordance with our Privacy Policy.