Promotional price valid on web orders only. Your contract pricing may differ. Interested in signing up for a dedicated account number?
Learn More
Learn More
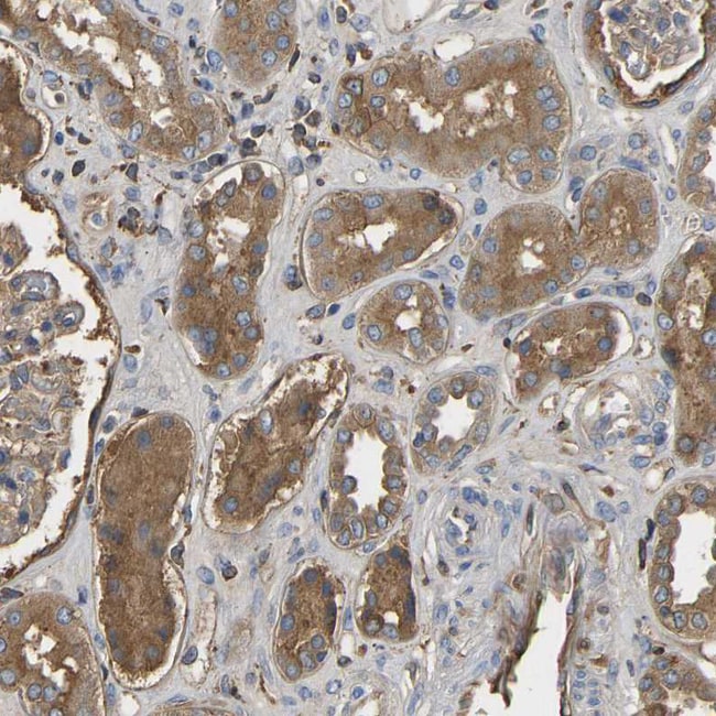
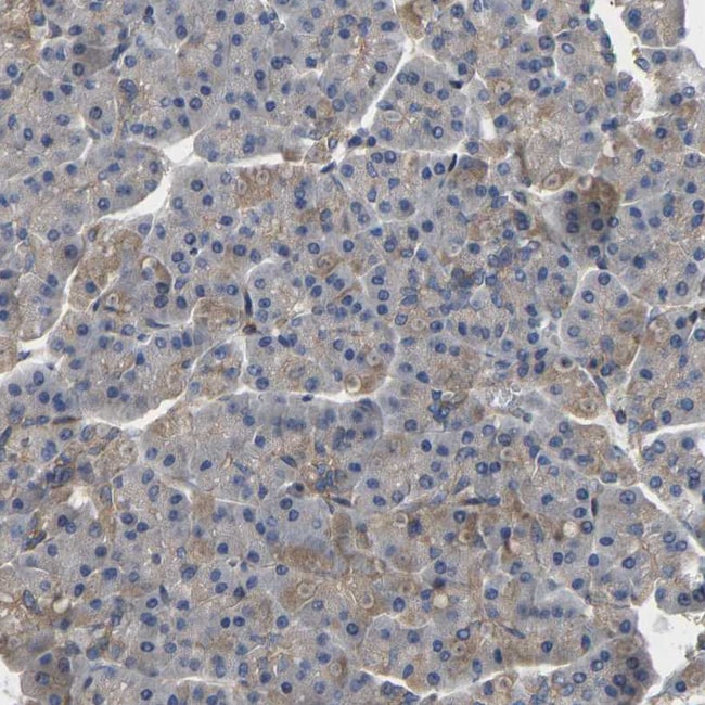
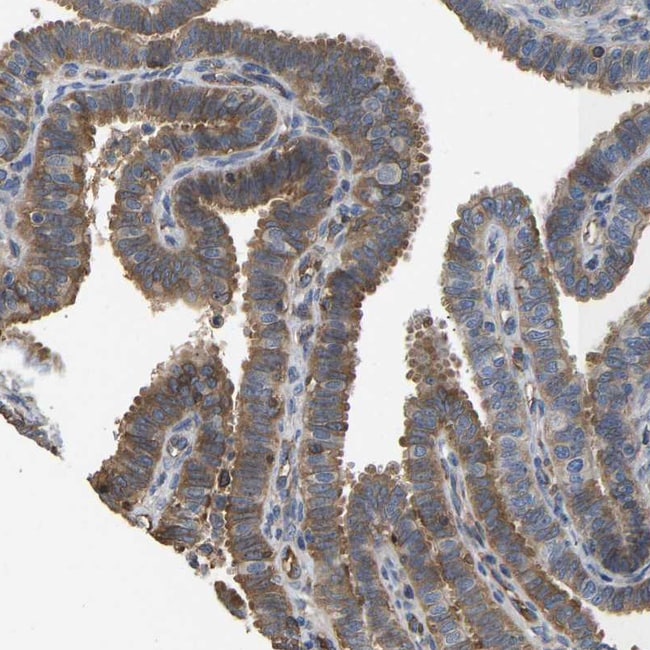
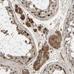
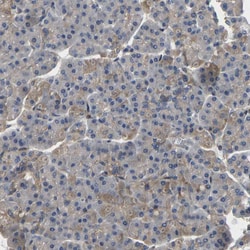
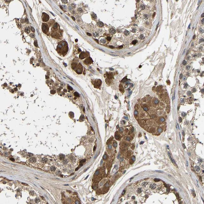
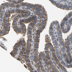
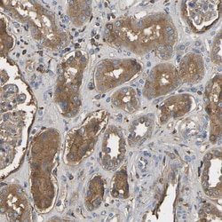
Invitrogen™ VCPKMT Polyclonal Antibody

Rabbit Polyclonal Antibody
Supplier: Invitrogen™ PA551520
Description
Immunogen sequence: DTLESSLEDP LRSFVRVLEK RDGTVLRLQQ YSSGGVGCVV WDAAIVLSKY LETPEFSGDG AHALSRRSVL ELGSGTGAVG LMAATLGADV VVTDLEELQD LLKMNINMNK HLVTGSVQAK GGRNRRLSFS TRLHTDGRLH I Highest antigen sequence identity to the following orthologs: Mouse - 77%, Rat - 29%.
C14orf138, also named as VCPKMT or METTL21D, is 229 amino acid protein, which belongs to the methyltransferase superfamily. C14orf138 localizes in the cytoplasm and interacts with ALKBH6. C14orf138 as a Protein-lysine N-methyltransferase that specifically trimethylates 'Lys-315' of VCP/p97; this modification may decrease VCP ATPase activity. C14orf138 exists as five isoforms. The calculated molecular weight of C14orf138 is 26 kDa, but we always detected a 46-50 kDa protein by western blot.
Specifications
| VCPKMT | |
| Polyclonal | |
| Unconjugated | |
| VCPKMT | |
| C14orf138; methyltransferase like 21D; methyltransferase-like protein 21D; METTL21D; Protein-lysine methyltransferase METTL21D; valosin containing protein lysine (K) methyltransferase; valosin containing protein lysine methyltransferase; valosin-containing protein lysine methyltransferase; VCP lysine methyltransferase; VCPKMT; VCP-KMT | |
| Rabbit | |
| Antigen affinity chromatography | |
| RUO | |
| 79609 | |
| Store at 4°C short term. For long term storage, store at -20°C, avoiding freeze/thaw cycles. | |
| Liquid |
| Immunohistochemistry (Paraffin) | |
| 0.05 mg/mL | |
| PBS with 40% glycerol and 0.02% sodium azide; pH 7.2 | |
| Q9H867 | |
| VCPKMT | |
| Recombinant protein corresponding to Human VCPKMT. Recombinant protein control fragment (Product #RP-88861). | |
| 100 μL | |
| Primary | |
| Human | |
| Antibody | |
| IgG |
Product Content Correction
Your input is important to us. Please complete this form to provide feedback related to the content on this product.
Product Title
Spot an opportunity for improvement?Share a Content Correction