Learn More
Invitrogen™ VEGFB Polyclonal Antibody

Description
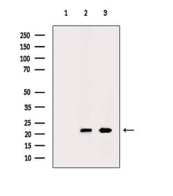
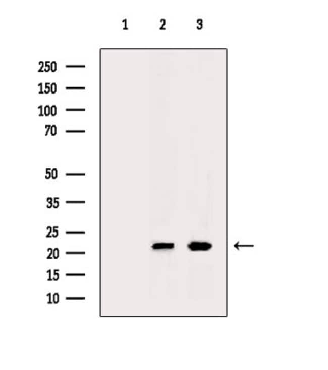
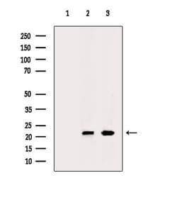
Antibody detects endogenous levels of total VEGFB.
Specifications
Specifications
| Antigen | VEGFB |
| Applications | Western Blot, Immunocytochemistry |
| Classification | Polyclonal |
| Concentration | 1 mg/mL |
| Conjugate | Unconjugated |
| Formulation | PBS with 50% glycerol and 0.02% sodium azide; pH 7.4 |
| Gene | VEGFB |
| Gene Accession No. | O35485, P49765, P49766 |
| Gene Alias | flt-1/VEGFR1 ligand; vascular endothelial growth factor B; vascular endothelial growth factor B167 precursor; vascular endothelial growth factor B186 precursor; vascular endothelial growth factor-B; Vegfb; VEGF-B; VEGFL; VEGF-related factor; Vrf |
| Gene Symbols | VEGFB |
| Show More |
Safety and Handling
By clicking Submit, you acknowledge that you may be contacted by Fisher Scientific in regards to the feedback you have provided in this form. We will not share your information for any other purposes. All contact information provided shall also be maintained in accordance with our Privacy Policy.