Promotional price valid on web orders only. Your contract pricing may differ. Interested in signing up for a dedicated account number?
Learn More
Learn More
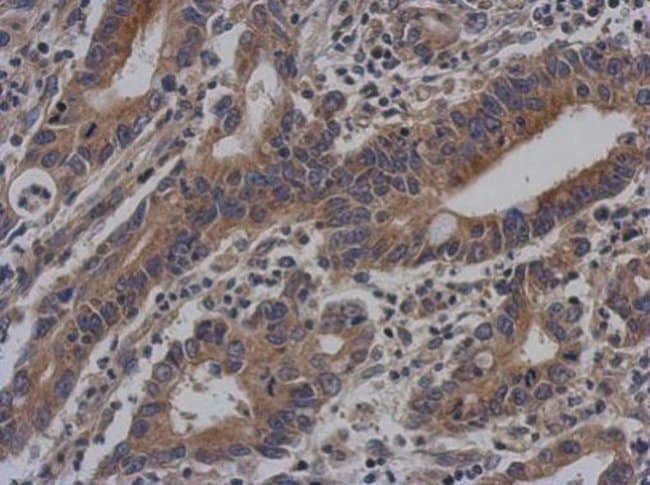
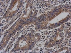
Invitrogen™ Vezatin Polyclonal Antibody

Rabbit Polyclonal Antibody
Supplier: Invitrogen™ PA530651
Description
Recommended positive controls: HeLa, mouse eye, mouse brain, rat brain. Predicted reactivity: Human (99%), Mouse (83%), Rat (83%), Rhesus Monkey (98%). Store product as a concentrated solution. Centrifuge briefly prior to opening the vial.
Plays a pivotal role in the establishment of adherens junctions and their maintenance in adult life. In case of Listeria infection, promotes bacterial internalization by participating to myosin VIIa recruitment to the entry site.
Specifications
| Vezatin | |
| Polyclonal | |
| Unconjugated | |
| VEZT | |
| A630071D13Rik; AI848282; transmembrane protein vezatin; vezatin; vezatin, adherens junctions transmembrane protein; VEZT | |
| Rabbit | |
| Antigen affinity chromatography | |
| RUO | |
| 215008, 299738, 55591 | |
| Store at 4°C short term. For long term storage, store at -20°C, avoiding freeze/thaw cycles. | |
| Liquid |
| Immunohistochemistry (Paraffin), Western Blot | |
| 0.56 mg/mL | |
| 0.1M tris glycine with 20% glycerol and 0.01% thimerosal; pH 7 | |
| Q3ZK22, Q5XI52, Q9HBM0 | |
| VEZT | |
| Recombinant protein encompassing a sequence within the N-terminus region of human Vezatin. The exact sequence is proprietary. | |
| 100 μL | |
| Primary | |
| Human, Mouse, Rat | |
| Antibody | |
| IgG |
Safety and Handling
WARNING: Cancer - www.P65Warnings.ca.gov
Product Content Correction
Your input is important to us. Please complete this form to provide feedback related to the content on this product.
Product Title
Spot an opportunity for improvement?Share a Content Correction