Promotional price valid on web orders only. Your contract pricing may differ. Interested in signing up for a dedicated account number?
Learn More
Learn More
Invitrogen™ Vinculin Recombinant Rabbit Monoclonal Antibody (JM42-43)

Rabbit Recombinant Monoclonal Antibody
Supplier: Invitrogen™ MA545007
This item is not returnable.
View return policy
Description
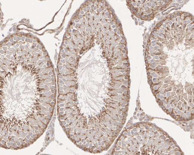
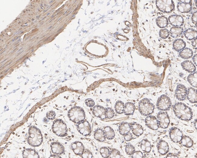
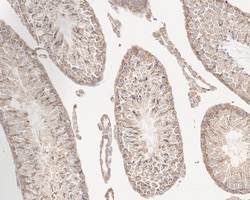
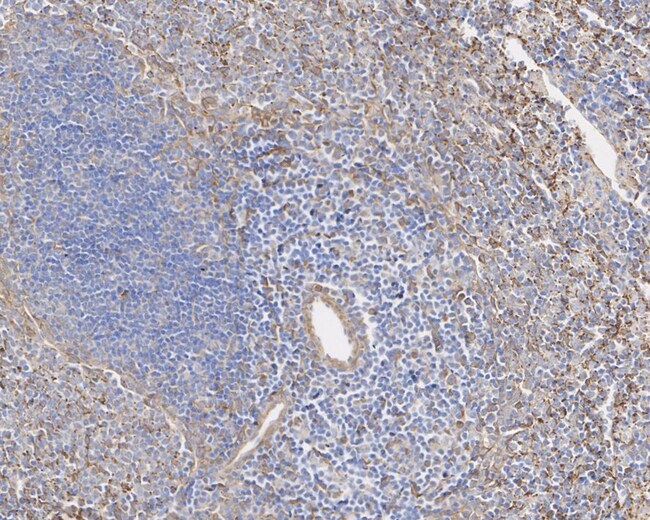
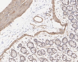
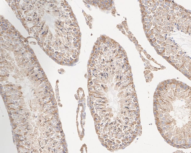
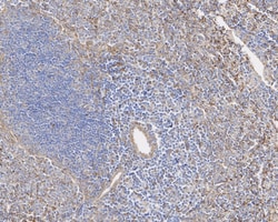
Vinculin Recombinant Monoclonal Antibody for Western Blot, ICC/IF, IHC (P), Flow
Vinculin (VCL) is a cytoskeletal protein associated with cell-cell and cell-extracellular matrix adherens-type junctions. It functions as one of several interacting proteins involved in anchoring F-actin to the membrane. It has been shown that a sequence of molecular interactions might be involved in the transmembrane assembly of adhesion plaques. In the assembly of adhesion plaques, the beta subunit of integrin binds to talin. Talin binds to vinculin that interacts with alpha-actinin and possibly with itself. Since alpha-actinin binds to and cross-links actin filaments, vinculin represents a key element in the transmembrane linkage of the extracellular matrix to the cytoplasmic microfilament system. Mutations in the gene can result in cardiomyopathy dilated 1W or familial hypertrophic 15.
Specifications
| Vinculin | |
| Recombinant Monoclonal | |
| 1 mg/mL | |
| TBS with 0.05% BSA, 40% glycerol and 0.05% sodium azide; pH 7.4 | |
| P18206, P85972, Q64727 | |
| VCL | |
| Synthetic peptide within human Vinculin aa 1000-1060. | |
| 100 μL | |
| Primary | |
| Human, Mouse, Rat | |
| Antibody | |
| IgG |
| Flow Cytometry, Immunohistochemistry (Paraffin), Western Blot, Immunocytochemistry | |
| JM42-43 | |
| Unconjugated | |
| VCL | |
| 9430097D22; AA571387; AI462105; AW545629; CMD1W; CMH15; epididymis luminal protein 114; HEL114; metavinculin; meta-vinculin; metavinculin {ECO:0000250; MV; MVCL; RP11-178G16.3; UniProtKB:P18206}; unnamed protein product; Vcl; vcl {ECO:0000250; VIN; vinc; vinc 1; VINC1; Vinculin; vinculin {ECO:0000250 | |
| Rabbit | |
| Protein A | |
| RUO | |
| 22330, 305679, 7414 | |
| Store at 4°C short term. For long term storage, store at -20°C, avoiding freeze/thaw cycles. | |
| Liquid |
Safety and Handling
WARNING: Cancer - www.P65Warnings.ca.gov
Product Content Correction
Your input is important to us. Please complete this form to provide feedback related to the content on this product.
Product Title
Spot an opportunity for improvement?Share a Content Correction