Learn More
Invitrogen™ VIP Polyclonal Antibody

Rabbit Polyclonal Antibody
Supplier: Invitrogen™ PA5120172
Description
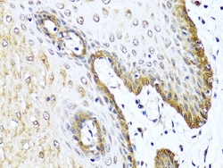
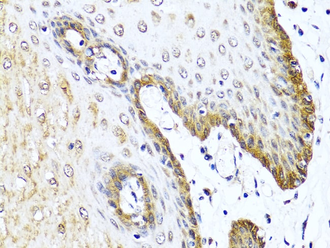
Positive test controls include: Rat spinal cord. The target is usually found in the following locations: Secreted. Immunogen sequence: APSALRLGDR IPFEGANEPD QVSLKEDIDM LQNALAENDT PYYDVSRNAR HADGVFTSDF SKLLGQLSAK KYLESLMGKR VSSNISEDPV PVKRHSDAVF TDNYTRLRKQ MAVKKYLNSI LNGKRSSEGE SPDFPEELEK.
VIP encodes a protein that belongs to the glucagon family. It stimulates myocardial contractility, causes vasodilation, increases glycogenolysis, lowers arterial blood pressure and relaxes the smooth muscle of trachea, stomach and gall bladder. Alternative splicing occurs at this locus and two transcript variants encoding distinct isoforms have been identified.
Specifications
VIP | |
Polyclonal | |
Unconjugated | |
VIP | |
Intestinal peptide PHI-27; Intestinal peptide PHI-42; Intestinal peptide PHM-27; Intestinal peptide PHV-42; MGC13587; PACAP-R-2; Peptide histidine isoleucinamide 27; Peptide histidine methioninamide 27; Peptide histidine valine 42; PHI; PHI, peptide histidine isoleucine; PHM27; prepro-VIP; vasoactive intestinal peptide; Vasoactive intestinal polypeptide; VIP; VIP peptides; vip/phi27; VIP-R-1 | |
Rabbit | |
Affinity Chromatography | |
RUO | |
117064, 22353, 7432 | |
-20°C, Avoid Freeze/Thaw Cycles | |
Liquid |
ELISA, Immunohistochemistry (Paraffin), Western Blot | |
0.61 mg/mL | |
PBS with 50% glycerol and 0.02% sodium azide; pH 7.3 | |
P01282, P01283, P32648 | |
VIP | |
Recombinant fusion protein containing a sequence corresponding to amino acids 31-170 of human VIP (NP_003372.1). | |
100 μL | |
Primary | |
Human, Mouse, Rat | |
Antibody | |
IgG |
Safety and Handling
Your input is important to us. Please complete this form to provide feedback related to the content on this product.