Promotional price valid on web orders only. Your contract pricing may differ. Interested in signing up for a dedicated account number?
Learn More
Learn More
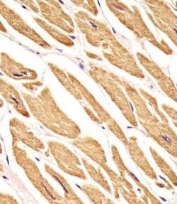
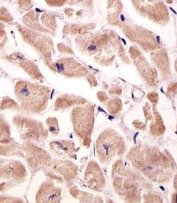
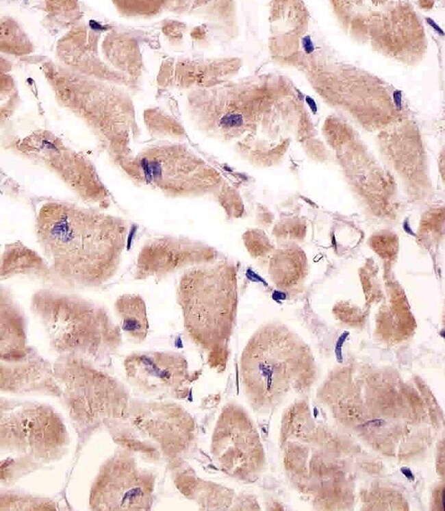
Invitrogen™ VLDLR Polyclonal Antibody

Rabbit Polyclonal Antibody
Supplier: Invitrogen™ PA525657
Description
This antibody is predicted to react with rabbit based on sequence homology.
The low density lipoprotein receptor (LDLR) gene family consists of cell surface proteins involved in receptor-mediated endocytosis of specific ligands. This gene encodes a lipoprotein receptor that is a member of the LDLR family and plays important roles in VLDL-triglyceride metabolism and the reelin signaling pathway. Mutations in this gene cause VLDLR-associated cerebellar hypoplasia. Alternative splicing generates multiple transcript variants encoding distinct isoforms for this gene.
Specifications
| VLDLR | |
| Polyclonal | |
| Unconjugated | |
| VLDLR | |
| AA408956; AI451093; AW047288; CAMRQ1; CARMQ1; CHRMQ1; FLJ35024; non O-glycosylated VLDL-R; very low density lipoprotein receptor; very low density lipoprotein receptor VLDL-R2; very low-density lipoprotein receptor; VLDL receptor; VLDLR; VLDL-R; VLDLRCH | |
| Rabbit | |
| Antigen Affinity Chromatography, Protein A | |
| RUO | |
| 7436 | |
| Store at 4°C short term. For long term storage, store at -20°C, avoiding freeze/thaw cycles. | |
| Liquid |
| Flow Cytometry, Immunohistochemistry (Paraffin), Western Blot | |
| 0.5 mg/mL | |
| PBS with 0.09% sodium azide; pH 7.4 | |
| P98155 | |
| VLDLR | |
| KLH conjugated synthetic peptide between 484-510 amino acids from the central region of human VLDLR. | |
| 400 μL | |
| Primary | |
| Human | |
| Antibody | |
| IgG |
Safety and Handling
WARNING: Cancer - www.P65Warnings.ca.gov
Product Content Correction
Your input is important to us. Please complete this form to provide feedback related to the content on this product.
Product Title
Spot an opportunity for improvement?Share a Content Correction