Promotional price valid on web orders only. Your contract pricing may differ. Interested in signing up for a dedicated account number?
Learn More
Learn More
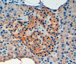
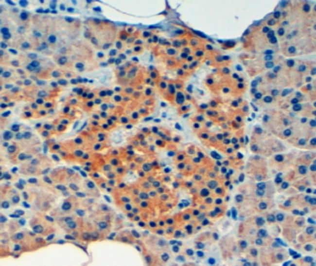
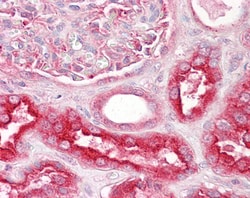
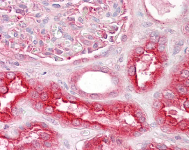
Invitrogen™ VPS11 Polyclonal Antibody

Goat Polyclonal Antibody
Supplier: Invitrogen™ PA5142157
This item is not returnable.
View return policy
Description
This antibody is tested in Peptide ELISA: antibody detection limit dilution 1:32,000.
Vesicle mediated protein sorting plays an important role in segregation of intracellular molecules into distinct organelles. Genetic studies in yeast have identified more than 40 vacuolar protein sorting (VPS) genes involved in vesicle transport to vacuoles. This gene encodes the human homolog of yeast class C Vps11 protein. The mammalian class C Vps proteins are predominantly associated with late endosomes/lysosomes, and like their yeast counterparts, may mediate vesicle trafficking steps in the endosome/lysosome pathway. Alternative splicing results in multiple transcript variants.
Specifications
VPS11 | |
Polyclonal | |
Unconjugated | |
VPS11 | |
1200011A11Rik; END1; HLD12; hVPS11; PEP5; PP3476; RING finger protein 108; RNF108; vacuolar protein sorting 11 (yeast); vacuolar protein sorting 11 homolog; vacuolar protein sorting 11 homolog (S. cerevisiae); vacuolar protein sorting-associated protein 11 homolog; VPS11; VPS11 CORVET/HOPS core subunit; VPS11, CORVET/HOPS core subunit | |
Goat | |
Ammonium sulfate precipitation | |
RUO | |
55823 | |
-20°C, Avoid Freeze/Thaw Cycles | |
Liquid |
Immunohistochemistry (Paraffin), Western Blot | |
0.5 mg/mL | |
TBS with 0.5% BSA and 0.02% sodium azide; pH 7.3 | |
Q9H270 | |
VPS11 | |
Peptide with sequence C-HALQEKDTQTKLE. | |
100 μg | |
Primary | |
Human | |
Antibody | |
IgG |
Product Content Correction
Your input is important to us. Please complete this form to provide feedback related to the content on this product.
Product Title
Spot an opportunity for improvement?Share a Content Correction