Promotional price valid on web orders only. Your contract pricing may differ. Interested in signing up for a dedicated account number?
Learn More
Learn More
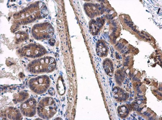
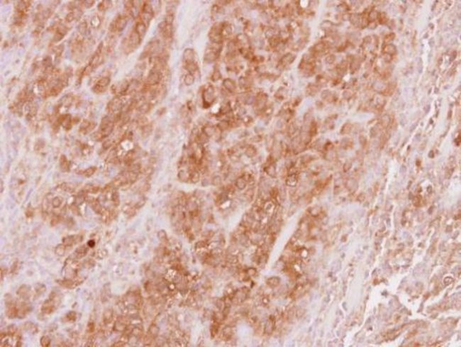
Invitrogen™ VPS36 Polyclonal Antibody

Rabbit Polyclonal Antibody
Supplier: Invitrogen™ PA530611
Description
Recommended positive controls: NT2D1, IMR32, U87-MG, MCF-7. Predicted reactivity: Mouse (95%), Rat (95%), Zebrafish (86%), Xenopus laevis (86%), Bovine (98%). Store product as a concentrated solution. Centrifuge briefly prior to opening the vial.
VPS36, VPS22, and VPS25 (Slagsvold et al., 2005 ; Kamura et al., 2001 ).
Specifications
VPS36 | |
Polyclonal | |
Unconjugated | |
VPS36 | |
1700010A24Rik; 2210415M20Rik; 2810408E15Rik; C13orf9; CGI-145; EAP45; ELL-associated protein of 45 kDa; ESCRT-II complex subunit VPS36; RGD1309754; vacuolar protein sorting 36 (yeast); vacuolar protein sorting 36 homolog; vacuolar protein sorting 36 homolog (S. cerevisiae); vacuolar protein-sorting-associated protein 36; VPS36 | |
Rabbit | |
Antigen affinity chromatography | |
RUO | |
51028, 70160 | |
Store at 4°C short term. For long term storage, store at -20°C, avoiding freeze/thaw cycles. | |
Liquid |
Immunohistochemistry (Paraffin), Western Blot | |
0.81 mg/mL | |
0.1M tris glycine with 20% glycerol and 0.01% thimerosal; pH 7 | |
Q86VN1, Q91XD6 | |
VPS36 | |
Recombinant protein encompassing a sequence within the center region of human VPS36. The exact sequence is proprietary. | |
100 μL | |
Primary | |
Human, Mouse | |
Antibody | |
IgG |
Product Content Correction
Your input is important to us. Please complete this form to provide feedback related to the content on this product.
Product Title
Spot an opportunity for improvement?Share a Content Correction