Promotional price valid on web orders only. Your contract pricing may differ. Interested in signing up for a dedicated account number?
Learn More
Learn More
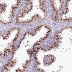
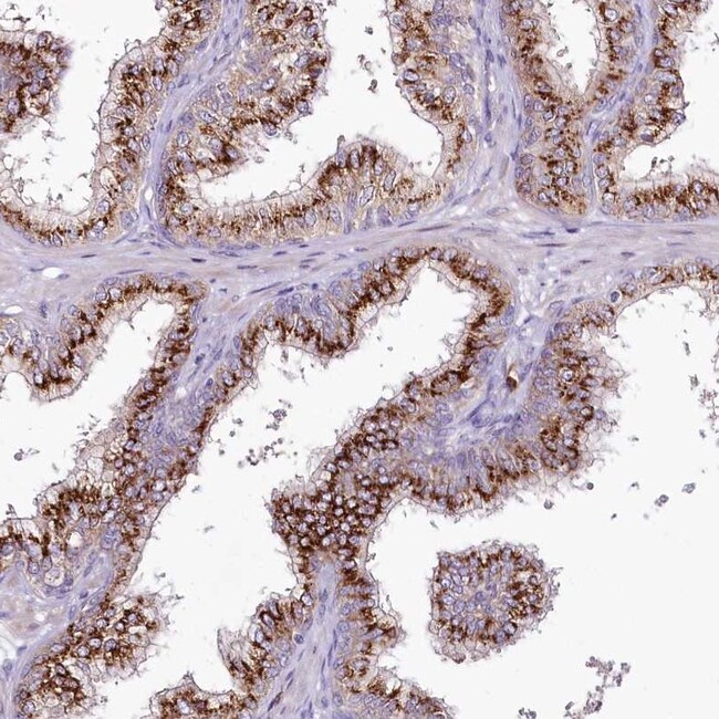
Invitrogen™ VWA5A Polyclonal Antibody

Rabbit Polyclonal Antibody
Supplier: Invitrogen™ PA558119
Description
Immunogen sequence: SLSWHLPPGL SAKMLSPEQT VIFRGQRLIS YAQLTGRMPA AETTGEVCLK YTLQGKTFED KVTFPLQPKP DVNLTIHRLA AKSLLQTKDM GLRETPASDK Highest antigen sequence identity to the following orthologs: Mouse - 69%, Rat - 69%.
May play a role in tumorigenesis as a tumor suppressor. Altered expression of this protein and disruption of the molecular pathway it is involved in, may contribute directly to or modify tumorigenesis.
Specifications
VWA5A | |
Polyclonal | |
Unconjugated | |
Vwa5a | |
5830475I06Rik; AW552491; BCSC1; BCSC-1; breast cancer suppressor candidate 1; E130119J22; Loh11cr2a; loss of heterozygosity 11 chromosomal region 2 gene A protein; Loss of heterozygosity 11 chromosomal region 2 gene A protein homolog; loss of heterozygosity, 11, chromosomal region 2, gene A; loss of heterozygosity, 11, chromosomal region 2, gene A homolog; Masa1; masa-1; Mast cell surface antigen 1; mast cell surface antigen-1; ortholog of mouse AW551984; von Willebrand factor A domain containing 5A; von Willebrand factor A domain-containing protein 5A; VWA5A | |
Rabbit | |
Antigen Affinity Chromatography | |
RUO | |
4013 | |
Store at 4°C short term. For long term storage, store at -20°C, avoiding freeze/thaw cycles. | |
Liquid |
Immunohistochemistry (Paraffin), Immunocytochemistry | |
0.2 mg/mL | |
PBS with 40% glycerol and 0.02% sodium azide; pH 7.2 | |
O00534 | |
Vwa5a | |
Recombinant protein corresponding to Human VWA5A. Recombinant protein control fragment (Product #RP-97293). | |
100 μL | |
Primary | |
Human | |
Antibody | |
IgG |
Product Content Correction
Your input is important to us. Please complete this form to provide feedback related to the content on this product.
Product Title
Spot an opportunity for improvement?Share a Content Correction