Learn More
Invitrogen™ WAPL Polyclonal Antibody

Rabbit Polyclonal Antibody
Supplier: Invitrogen™ PA5143906
Description
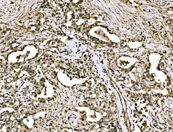
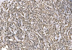
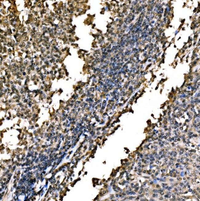
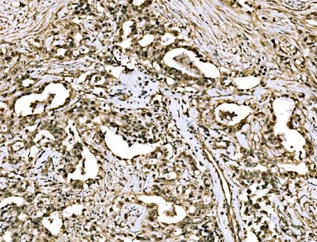
Adding 0.2 mL of distilled water will yield a concentration of 500 μg/mL. Positive Control - WB: human Hela whole cell, human 293T whole cell, human HepG2 whole cell, rat L6 whole cell, mouse C2C12 whole cell. IHC: mouse colon tissue, human lymphoma tissue, human stomach cancer tissue, human tonsil tissue. ICC/IF: T-47D cell. Flow: A431 cell. Store at -20°C for one year from date of receipt. After reconstitution, at 4°C for one month. It can also be aliquotted and stored frozen at -20°C for six months. Avoid repeated freeze-thaw cycles.
Transcriptional repressor which may play a role in development of the central nervous system (CNS).
Specifications
| WAPL | |
| Polyclonal | |
| Unconjugated | |
| WAPL | |
| A530089A20Rik; BC037674; DIF-2; Dioxin-inducible factor 2; FOE; friend of EBNA2; friend of EBNA2 (Epstein-Barr virus nuclear protein 2); friend of EBNA2 protein; KIAA0261; RGD1308960; WAPAL; WAPL; WAPL cohesin release factor; wings apart-like homolog (Drosophila); wings apart-like protein homolog | |
| Rabbit | |
| Antigen affinity chromatography | |
| RUO | |
| 218914, 23063, 290577 | |
| -20°C | |
| Lyophilized |
| ELISA, Flow Cytometry, Immunohistochemistry (Paraffin), Western Blot, Immunocytochemistry | |
| 500 μg/mL | |
| PBS with 4mg trehalose and no preservative | |
| Q65Z40, Q7Z5K2 | |
| WAPL | |
| E.coli-derived human WAPL/FOE recombinant protein (Position: Q916-C1190). | |
| 100 μg | |
| Primary | |
| Human, Mouse, Rat | |
| Antibody | |
| IgG |
Your input is important to us. Please complete this form to provide feedback related to the content on this product.