Promotional price valid on web orders only. Your contract pricing may differ. Interested in signing up for a dedicated account number?
Learn More
Learn More
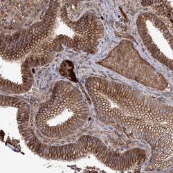
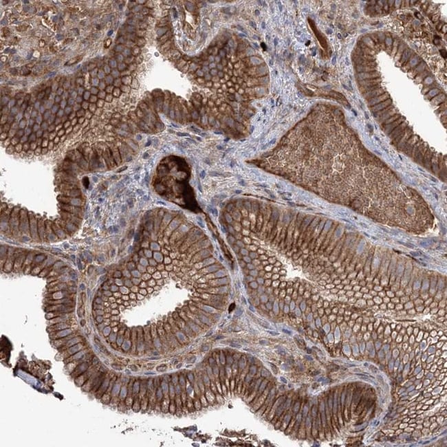
Invitrogen™ WBP1L Polyclonal Antibody

Rabbit Polyclonal Antibody
Supplier: Invitrogen™ PA558038
Description
Immunogen sequence: PLSEPSRSST RPPSIADPDP SDLPVDRAAT KAPGMEPSGS VAGLGELDPG AFLDKDAECR EELLKDDSSE HGAPDSKEKT PGRHRRFTGD Highest antigen sequence identity to the following orthologs: Mouse - 70%, Rat - 76%.
WBP1L (OPAL1, outcome predictor in acute leukemia 1) is an almost uncharacterized transmembrane adaptor protein expressed mainly by megakaryocytes and platelets. Its expression is enhanced on TEL/AML leukemic cells. The function of OPAL1 is unknown, although the presence of a cytochrome c-like heme-binding site and a transmembrane domain suggested OPAL1 may be involved in the mitochondrial electron transport chain. Its originally reported prognostic impact appears to be treatment dependent.
Specifications
| WBP1L | |
| Polyclonal | |
| Unconjugated | |
| WBP1L | |
| C10orf26; OPA1L; OPAL1; Outcome predictor in acute leukemia 1; WBP1L; WW domain binding protein 1-like | |
| Rabbit | |
| Antigen affinity chromatography | |
| RUO | |
| 54838 | |
| Store at 4°C short term. For long term storage, store at -20°C, avoiding freeze/thaw cycles. | |
| Liquid |
| Immunohistochemistry (Paraffin) | |
| 0.2 mg/mL | |
| PBS with 40% glycerol and 0.02% sodium azide; pH 7.2 | |
| Q9NX94 | |
| WBP1L | |
| Recombinant protein corresponding to Human WBP1L. Recombinant protein control fragment (Product #RP-97171). | |
| 100 μL | |
| Primary | |
| Human | |
| Antibody | |
| IgG |
Product Content Correction
Your input is important to us. Please complete this form to provide feedback related to the content on this product.
Product Title
Spot an opportunity for improvement?Share a Content Correction