Promotional price valid on web orders only. Your contract pricing may differ. Interested in signing up for a dedicated account number?
Learn More

Invitrogen™ BRWD1 Polyclonal Antibody
GREENER_CHOICE

Rabbit Polyclonal Antibody

Supplier:  Invitrogen™ PA550897

Catalog No. PA550897


Only null left
Add to Cart

Description

Description

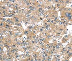
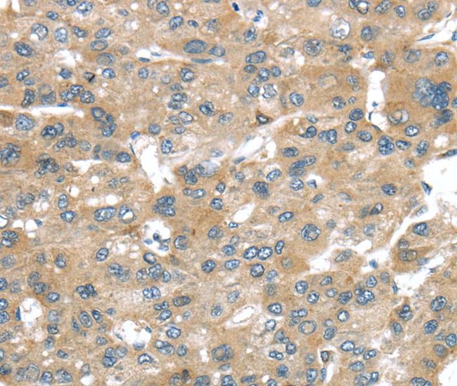
The antibody detects endogenous levels of total WDR9.3 / BRWD1 protein.

WDR9.3 encodes a member of the WD repeat protein family. WD repeats are minimally conserved regions of approximately 40 amino acids typically bracketed by gly-his and trp-asp (GH-WD), which may facilitate formation of heterotrimeric or multiprotein complexes. Members of this family are involved in a variety of cellular processes, including cell cycle progression, signal transduction, apoptosis, and gene regulation. This protein contains 2 bromodomains and multiple WD repeats, and the function of this protein is not known. This gene is located within the Down syndrome region 2 on chromosome 21. Alternative splicing of this gene generates 3 transcript variants diverging at the 3' ends.
TRUSTED_SUSTAINABILITY
Specifications

Specifications

BRWD1
Polyclonal
Unconjugated
Brwd1
5330419I02Rik; bromodomain and WD repeat domain containing 1; bromodomain and WD repeat-containing protein 1; BRWD1; C21orf107; D530019K20Rik; DCAF19; FLJ43918; G1-403-16; N143; repro5; transcriptional unit N143; WD repeat domain 9; WD repeat protein WDR9-form2; WD repeat-containing protein 9; WDR9
Rabbit
Antigen Affinity Chromatography
RUO
54014
-20°C
Liquid
Immunohistochemistry (Paraffin)
1.5 mg/mL
PBS with 40% glycerol and 0.05% sodium azide; pH 7.4
Q9NSI6
Brwd1
Synthetic peptide corresponding to residues near the N terminal of human bromodomain and WD repeat domain containing 1.
100 μL
Primary
Human
Antibody
IgG
Product Suggestions

Product Suggestions

Videos
SDS
Documents

Documents

Product Certifications
Promotions

Promotions

Product Content Correction

Your input is important to us. Please complete this form to provide feedback related to the content on this product.

Product Title

By clicking Submit, you acknowledge that you may be contacted by Fisher Scientific in regards to the feedback you have provided in this form. We will not share your information for any other purposes. All contact information provided shall also be maintained in accordance with our Privacy Policy.

Your feedback has been submitted: Thank you for helping us improve our website.