Learn More
Invitrogen™ WNK3 Polyclonal Antibody

Description
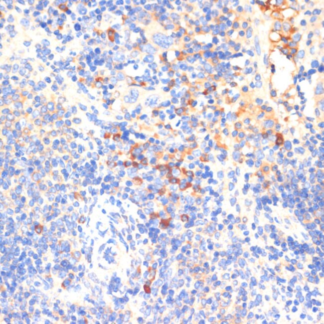
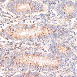
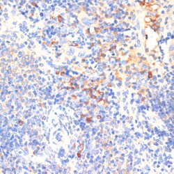
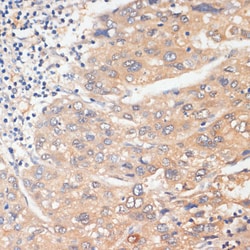
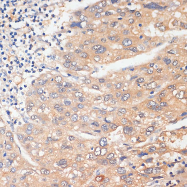
Positive Samples: Rat hypothalamus, Rat CNS, Rat brain; Cellular Location: Cytoplasm.
Specifications
Specifications
| Antigen | WNK3 |
| Applications | ELISA, Immunohistochemistry (Paraffin), Western Blot |
| Classification | Polyclonal |
| Concentration | 0.98 mg/mL |
| Conjugate | Unconjugated |
| Formulation | PBS with 50% glycerol and 0.02% sodium azide; pH 7.3 |
| Gene | WNK3 |
| Gene Accession No. | Q80XP9, Q9BYP7 |
| Gene Alias | KIAA1566; PRKWNK 3; PRKWNK3; Protein kinase lysine-deficient 3; protein kinase with no lysine 3; RGD1563131; serine/threonine-protein kinase WNK3; WNK 3; WNK lysine deficient protein kinase 3; WNK lysine deficient protein kinase 3, pseudogene; WNK3; Wnk3-ps |
| Gene Symbols | WNK3 |
| Show More |
By clicking Submit, you acknowledge that you may be contacted by Fisher Scientific in regards to the feedback you have provided in this form. We will not share your information for any other purposes. All contact information provided shall also be maintained in accordance with our Privacy Policy.