Promotional price valid on web orders only. Your contract pricing may differ. Interested in signing up for a dedicated account number?
Learn More
Learn More
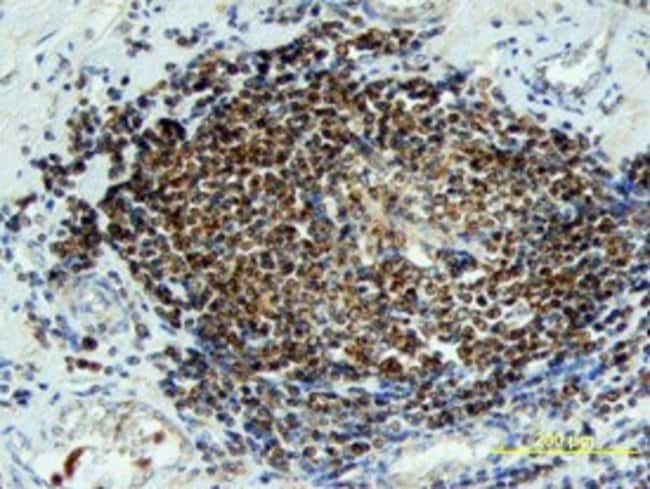
Invitrogen™ WNT6 Polyclonal Antibody

Sheep Polyclonal Antibody
Supplier: Invitrogen™ PA547580
Description
In direct ELISAs and Western blots, less than 1% cross-reactivity with recombinant mouse (rm) Wnt-4, rmWnt-8a, and rmWnt-9b is observed. Reconstitute at 0.2 mg/mL in sterile PBS.
The WNT gene family consists of structurally related genes which encode secreted signaling proteins. These proteins have been implicated in oncogenesis and in several developmental processes, including regulation of cell fate and patterning during embryogenesis. This gene is a member of the WNT gene family. It is overexpressed in cervical cancer cell line and strongly coexpressed with another family member, WNT10A, in colorectal cancer cell line. The gene overexpression may play key roles in carcinogenesis. This gene and the WNT10A gene are clustered in the chromosome 2q35 region. The protein encoded by this gene is 97% identical to the mouse Wnt6 protein at the amino acid level.
Specifications
WNT6 | |
Polyclonal | |
Unconjugated | |
WNT6 | |
AA409270; Protein Wnt-6; wingless-related MMTV integration site 6; wingless-related MMTV integration site 6 homolog; wingless-type MMTV integration site family member 6; wingless-type MMTV integration site family, member 6; Wnt family member 6; WNT6; Wnt-6 | |
Sheep | |
Antigen affinity chromatography | |
RUO | |
7475 | |
-20°C, Avoid Freeze/Thaw Cycles | |
Lyophilized |
Immunohistochemistry (Paraffin), Western Blot | |
0.2 mg/mL | |
PBS with 5% trehalose and No Preservative | |
Q9Y6F9 | |
WNT6 | |
E. coli-derived recombinant human Wnt-6 Met35-Glu75 and Gln238-Arg299. | |
100 μg | |
Primary | |
Human | |
Antibody | |
IgG |
Product Content Correction
Your input is important to us. Please complete this form to provide feedback related to the content on this product.
Product Title
Spot an opportunity for improvement?Share a Content Correction