Promotional price valid on web orders only. Your contract pricing may differ. Interested in signing up for a dedicated account number?
Learn More

WT1 Antibody (SPM361) - Azide and BSA Free, Novus Biologicals™
SDP

Mouse Monoclonal Antibody

Supplier:  Novus Biologicals NBP311553

Catalog No. NB121640


Only null left
Add to Cart

Description

Description

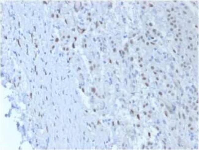
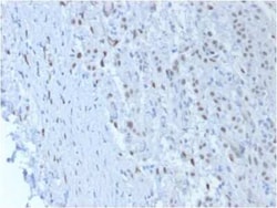
WT1 Monoclonal antibody specifically detects WT1 in Human, Rat samples. It is validated for Immunohistochemistry, Immunohistochemistry (Paraffin)
Specifications

Specifications

WT1
Monoclonal
1 mg/ml
Immunohistochemistry, Immunohistochemistry-Paraffin 0.5 - 1.0 ug/ml
AWT1, NPHS4GUD, WAGR, Wilms tumor 1, Wilms tumor protein, WIT-2, WT33
Recombinant protein corresponding to residues 1-181 of human WT1.
0.1 mg
Angiogenesis, Cancer, Cell Cycle and Replication, Cellular Markers, Chromatin Research, Tumor Suppressors
7490
Store at -20°C. Avoid freeze-thaw cycles.
IgG1 κ
Immunohistochemistry, Immunohistochemistry (Paraffin)
SPM361
Unconjugated
10 mM PBS
Mouse
Protein A or G purified
RUO
Primary
Human, Rat
Purified
Product Suggestions

Product Suggestions

Videos
SDS
Documents

Documents

Product Certifications
Promotions

Promotions

Product Content Correction

Your input is important to us. Please complete this form to provide feedback related to the content on this product.

Product Title

By clicking Submit, you acknowledge that you may be contacted by Fisher Scientific in regards to the feedback you have provided in this form. We will not share your information for any other purposes. All contact information provided shall also be maintained in accordance with our Privacy Policy.

Your feedback has been submitted: Thank you for helping us improve our website.