Promotional price valid on web orders only. Your contract pricing may differ. Interested in signing up for a dedicated account number?
Learn More
Learn More
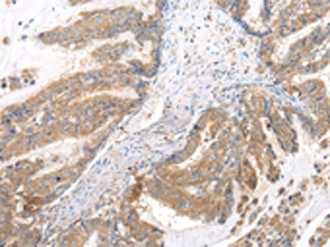
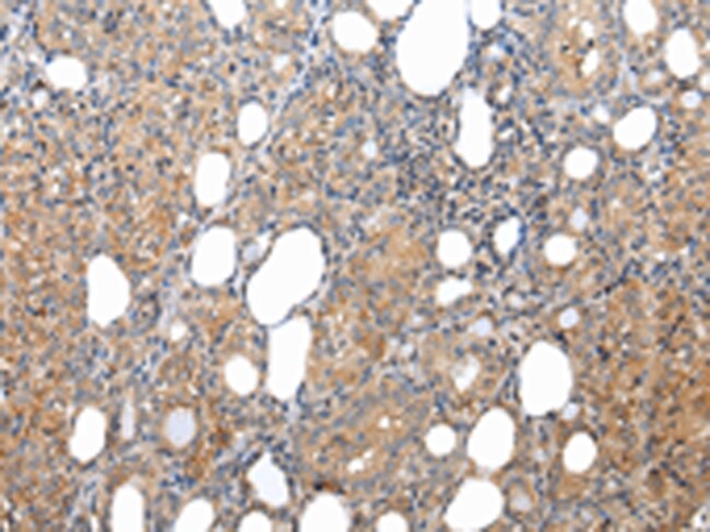
Invitrogen™ XKRX Polyclonal Antibody

Rabbit Polyclonal Antibody
Supplier: Invitrogen™ PA551273
Description
The antibody detects endogenous levels of total XKRX protein.
This gene encodes a protein that is related to a component of the XK/Kell complex of the Kell blood group system. The encoded protein includes several transmembrane domains, is known to be exposed to the cell surface, and may function as a membrane transporter.
Specifications
XKRX | |
Polyclonal | |
Unconjugated | |
XKRX | |
membrane protein XPLAC; X Kell blood group precursor-related, X-linked; X Kell blood group-related, X-linked; XK related, X-linked; XK, Kell blood group complex subunit-related, X-linked; XKR2; XK-related protein 2; XKRX; X-linked Kx blood group related, X-linked; XPLAC; XRG2 | |
Rabbit | |
Antigen affinity chromatography | |
RUO | |
402415 | |
-20°C | |
Liquid |
Immunohistochemistry (Paraffin), Western Blot | |
1.6 mg/mL | |
PBS with 40% glycerol and 0.05% sodium azide; pH 7.4 | |
Q6PP77 | |
XKRX | |
Synthetic peptide of human XKRX. | |
100 μL | |
Primary | |
Human | |
Antibody | |
IgG |
Safety and Handling
WARNING: Cancer - www.P65Warnings.ca.gov
Product Content Correction
Your input is important to us. Please complete this form to provide feedback related to the content on this product.
Product Title
Spot an opportunity for improvement?Share a Content Correction