Promotional price valid on web orders only. Your contract pricing may differ. Interested in signing up for a dedicated account number?
                
Learn More
Learn More
                                    Invitrogen™ XPC Polyclonal Antibody
                                    
                                    
                                    
                                    
                                
                            
                            
                            
                            
Rabbit Polyclonal Antibody
Supplier: Invitrogen™ PA527799
Description
Recommended positive controls: NT2D1, IMR32, U87-MG, MCF-7. Predicted reactivity: Mouse (81%), Rat (85%), Bovine (84%). Store product as a concentrated solution. Centrifuge briefly prior to opening the vial.
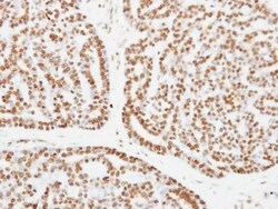
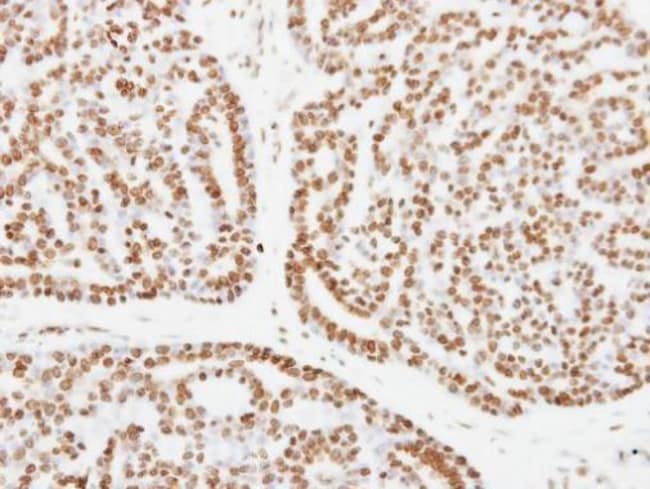
This gene encodes a component of the nucleotide excision repair (NER) pathway. There are multiple components involved in the NER pathway, including Xeroderma pigmentosum (XP) A-G and V, Cockayne syndrome (CS) A and B, and trichothiodystrophy (TTD) group A, etc. This component, XPC, plays an important role in the early steps of global genome NER, especially in damage recognition, open complex formation, and repair protein complex formation. Mutations in this gene or some other NER components result in Xeroderma pigmentosum, a rare autosomal recessive disorder characterized by increased sensitivity to sunlight with the development of carcinomas at an early age. Alternatively spliced transcript variants have been found for this gene.
            Specifications
| XPC | |
| Polyclonal | |
| Unconjugated | |
| XPC | |
| DNA repair protein complementing XP-C cells; DNA repair protein complementing XP-C cells homolog; mutant xeroderma pigmentosum group C; NER; p125; RAD4; Xeroderma pigmentosum group C-complementing protein; Xeroderma pigmentosum group C-complementing protein homolog; xeroderma pigmentosum, complementation group C; XP3; XPC; XPC complex subunit, DNA damage recognition and repair factor; XPCC | |
| Rabbit | |
| Antigen affinity chromatography | |
| RUO | |
| 7508 | |
| Store at 4°C short term. For long term storage, store at -20°C, avoiding freeze/thaw cycles. | |
| Liquid | 
| Immunohistochemistry (Paraffin), Western Blot, Immunocytochemistry | |
| 0.67 mg/mL | |
| PBS with 1% BSA, 20% glycerol and 0.025% ProClin 300; pH 7 | |
| Q01831 | |
| XPC | |
| Recombinant protein encompassing a sequence within the C-terminus region of human XPC. The exact sequence is proprietary. | |
| 100 μL | |
| Primary | |
| Human | |
| Antibody | |
| IgG | 
Safety and Handling
                                                    
                                                    WARNING: Cancer - www.P65Warnings.ca.gov 
                                                
                                            
                                        
                                    
                                
                    Product Content Correction
                
                Your input is important to us. Please complete this form to provide feedback related to the content on this product.
Product Title
			
            Spot an opportunity for improvement?Share a Content Correction