Learn More
Invitrogen™ XPC Polyclonal Antibody

Rabbit Polyclonal Antibody
Supplier: Invitrogen™ PA597019
Description
Immunogen sequence: GEVPYKMVKG FSNRARKARL AEPQLREEND LGLFGYWQTE EYQPPVAVDG KVPRNEFGNV YLFLPSMMPI GCVQLNLPNL HRVARKLDID CVQAITGFDF HGGYSHPVTD GYIVCEEFKD VLLTAWENEQ AVIERKEKEK KEKRALGNWK LLAKGLLIRE RLKRRYGPKS EAAAPHTDAG GGLSSDEEEG TSSQAEAARI LAASWPQNRE DEEKQKLKGG PKKTKREKKA AASHLFPFEQ L; Positive Samples: LO2, HeLa, 293T, HT-1080, Jurkat; Cellular Location: Cytoplasm, Nucleus.
This gene encodes a component of the nucleotide excision repair (NER) pathway. There are multiple components involved in the NER pathway, including Xeroderma pigmentosum (XP) A-G and V, Cockayne syndrome (CS) A and B, and trichothiodystrophy (TTD) group A, etc. This component, XPC, plays an important role in the early steps of global genome NER, especially in damage recognition, open complex formation, and repair protein complex formation. Mutations in this gene or some other NER components result in Xeroderma pigmentosum, a rare autosomal recessive disorder characterized by increased sensitivity to sunlight with the development of carcinomas at an early age. Alternatively spliced transcript variants have been found for this gene.
Specifications
XPC | |
Polyclonal | |
Unconjugated | |
XPC | |
DNA repair protein complementing XP-C cells; DNA repair protein complementing XP-C cells homolog; mutant xeroderma pigmentosum group C; NER; p125; RAD4; Xeroderma pigmentosum group C-complementing protein; Xeroderma pigmentosum group C-complementing protein homolog; xeroderma pigmentosum, complementation group C; XP3; XPC; XPC complex subunit, DNA damage recognition and repair factor; XPCC | |
Rabbit | |
Affinity Chromatography | |
RUO | |
7508 | |
-20°C, Avoid Freeze/Thaw Cycles | |
Liquid |
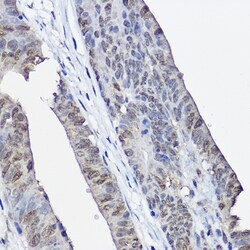
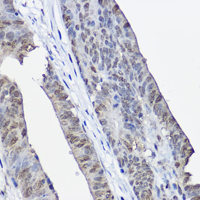
ELISA, Immunohistochemistry (Paraffin), Immunoprecipitation, Western Blot | |
0.52 mg/mL | |
PBS with 50% glycerol and 0.02% sodium azide; pH 7.3 | |
Q01831 | |
XPC | |
Recombinant fusion protein containing a sequence corresponding to amino acids 700-940 of human XPC (NP_0046193). | |
100 μL | |
Primary | |
Human | |
Antibody | |
IgG |
Safety and Handling
Your input is important to us. Please complete this form to provide feedback related to the content on this product.