Learn More
Invitrogen™ YAP1 Polyclonal Antibody

Rabbit Polyclonal Antibody
Supplier: Invitrogen™ PA5120528
Description
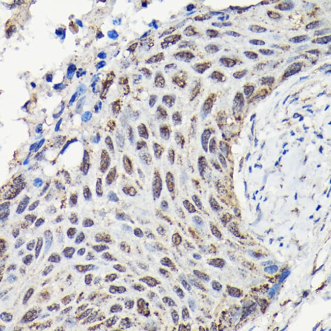
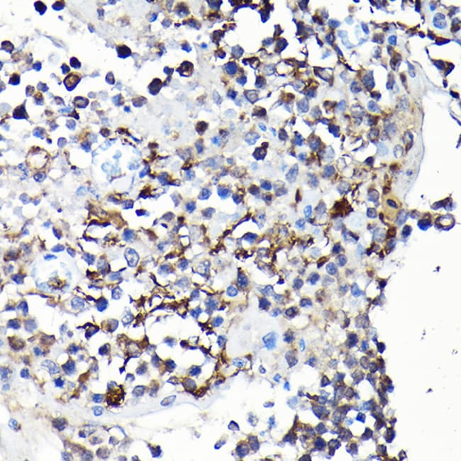
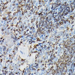
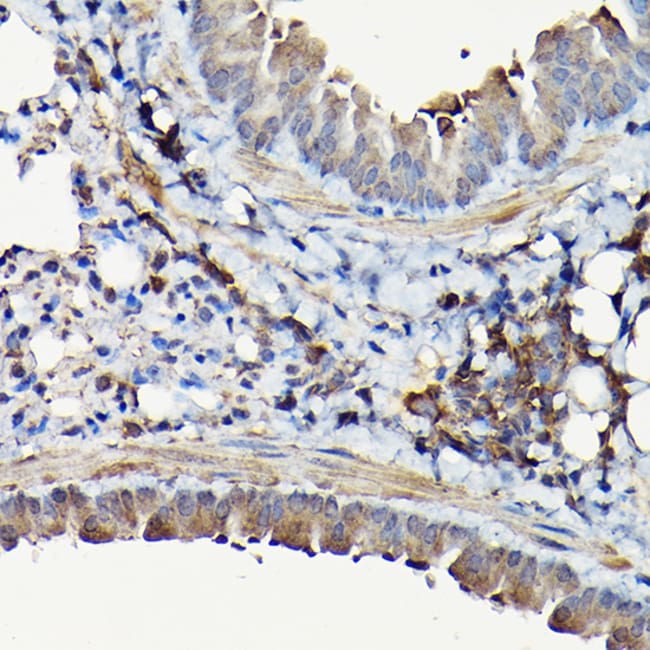
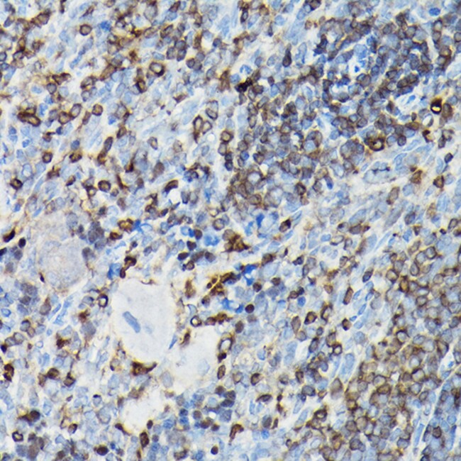
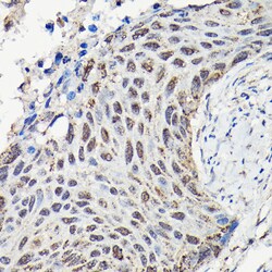
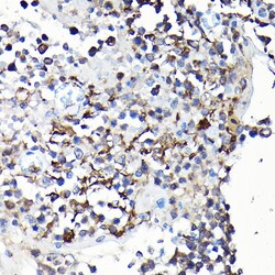
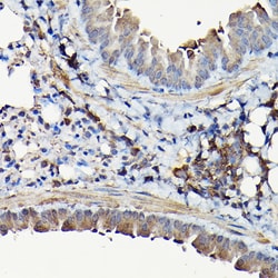
Positive test controls include: A-549, DU145, NIH/3T3, HeLa, Mouse lung. The target is usually found in the following locations: Cytoplasm, Nucleus. Immunogen sequence: QGGVLGGGSS NQQQQIQLQQ LQMEKERLRL KQQELFRQAI RNINPSTANA PKCQELALRS QLPTLEQDGG TPNAVSSPGM SQELRTMTTN SSDPFLNSGT YHSRDESTDS GLSMSSYSIP RTPDDFLNSV DEMDTGDTIS QSTLPSQQSR FPDYLEALPG TNVDLGTLEG DAMNIEGEEL MPSLQEALSS EILDVESVLA ATKLDKESFL TWL.
YAP (Yes-Associated Protein) is a founding member of the WW domain family of proteins, transcriptional co-activator and oncogene. Its gene is transcriptionally activated in squamous cell carcinoma cells. YAP can act both as a coactivator and corepressor and is the critical downstream regulatory target in the Hippo signaling pathway. The Hippo signaling pathway plays a pivotal role in organ size control and tumour suppression by restricting proliferation and promoting apoptosis. Also plays key roles in tissue tension, 3D tissue shape, cell proliferation, cell death, and cell migration. Mutations in the IRF5 gene results in coloboma.
Specifications
| YAP1 | |
| Polyclonal | |
| Unconjugated | |
| YAP1 | |
| 65 kDa Yes-associated protein; AI325207; cb194; CH211-181P1.5-001; COB1; Protein yorkie homolog; sb:cb194; si:ch211-181p1.5; si:dkey-3b8.3; transcriptional coactivator YAP1; wu:fc18c04; yap; Yap1; YAP2; Yap65; Yes associated protein 1; Yes1 associated transcriptional regulator; yes-associated protein 1; yes-associated protein 2; yes-associated protein YAP65 homolog; yes-associated protein, 65 kDa; Yki; Yorkie; yorkie homolog; zgc:158380; zYAP | |
| Rabbit | |
| Affinity Chromatography | |
| RUO | |
| 10413, 22601, 363014 | |
| -20°C, Avoid Freeze/Thaw Cycles | |
| Liquid |
| ELISA, Immunohistochemistry (Paraffin), Western Blot, Immunocytochemistry | |
| 1.38 mg/mL | |
| PBS with 50% glycerol and 0.01% thimerosal; pH 7.3 | |
| P46937, P46938, Q2EJA0 | |
| YAP1 | |
| Recombinant fusion protein containing a sequence corresponding to amino acids 276-488 of mouse YAP1 (NP_0011646181). | |
| 100 μL | |
| Primary | |
| Human, Mouse, Rat | |
| Antibody | |
| IgG |
Your input is important to us. Please complete this form to provide feedback related to the content on this product.