Learn More
Invitrogen™ YTHDF1 Recombinant Rabbit Monoclonal Antibody (PSH0-23)

Rabbit Recombinant Monoclonal Antibody
Supplier: Invitrogen™ MA550793
Description
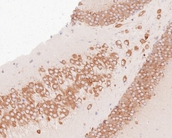
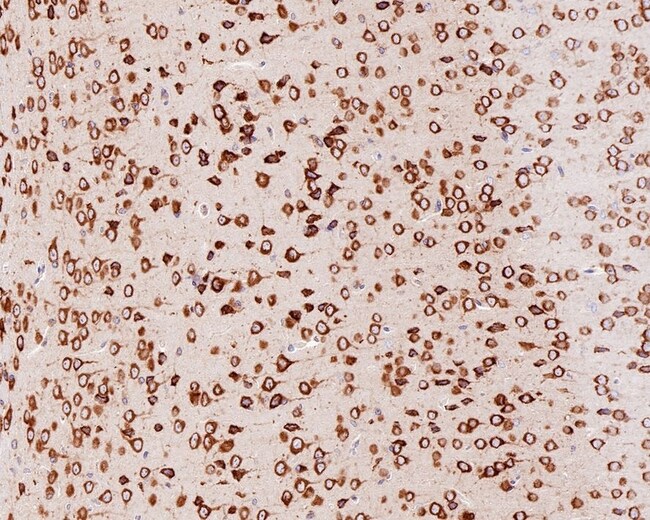
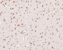
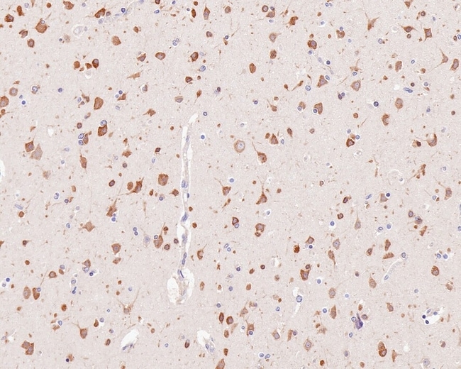
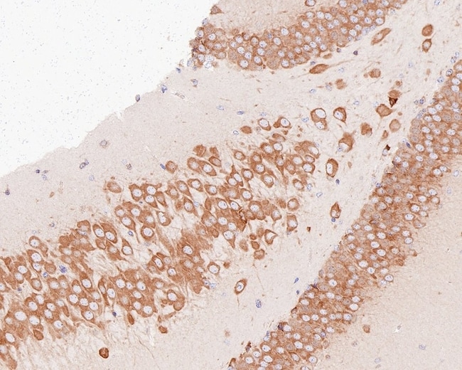
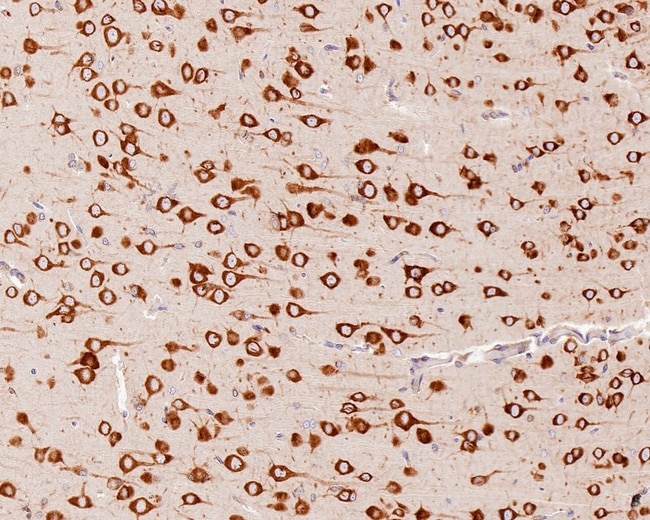
Positive control: HepG2 cell lysate, Hela cell lysate, 293T cell lysate, MCF-7 cell lysate, NIH/3T3 cell lysate, PC-12 cell lysate, HCT116 cell lysate, mouse testis liver tissue lysate, rat testis tissue lysate, mouse brain tissue lysate, rat brain tissue lysate, human brain tissue, mouse brain tissue, mouse hippocampus tissue, rat brain tissue, 293, PC-12. Predicted band size: 61 kDa Subcellular Location: Cytoplasm, P-body.
Specifically recognizes and binds N6-methyladenosine (m6A)-containing mRNAs, and promotes mRNA translation efficiency (PubMed:24284625, PubMed:26046440, PubMed:26318451). M6A is a modification present at internal sites of mRNAs and some non-coding RNAs and plays a role in the efficiency of mRNA splicing, processing and stability (PubMed:24284625). Acts as a regulator of mRNA translation efficiency: promotes ribosome loading to m6A-containing mRNAs and interacts with translation initiation factors eIF3 (EIF3A or EIF3B) to facilitate translation initiation (PubMed:26046440). Required to facilitate learning and memory formation in the hippocampus by enhancing protein synthesis upon neuronal stimulation: in response to neuronal stimulation, binds to m6A-containing neuronal mRNAs, promoting their translation, thereby contributing to learning and memory. Acts as a regulator of axon guidance by binding to m6A-containing ROBO3 transcripts, thereby promoting their translation. Acts as a negative regulator of antigen cross-presentation in myeloid dendritic cells. Acts by binding and promoting translation of m6A-containing transcripts encoding proteins involved in lysosomal degradation and phagosome maturation, leading to increased antigen degradation in myeloid dendritic cells. In the context of tumorigenesis, negative regulation of antigen cross-presentation limits the anti-tumor response by reducing efficiency of tumor-antigen cross-presentation. [UniProt].
Specifications
| YTHDF1 | |
| Recombinant Monoclonal | |
| 1 mg/mL | |
| PBS with 0.1% BSA, 40% glycerol and 0.05% sodium azide; pH 7.4 | |
| P59326, Q9BYJ9 | |
| YTHDF1 | |
| Recombinant protein within human YTHDF1 aa 300-559/559. | |
| 100 μL | |
| Primary | |
| Human, Mouse, Rat | |
| Antibody | |
| IgG |
| Flow Cytometry, Immunohistochemistry (Paraffin), Western Blot | |
| PSH0-23 | |
| Unconjugated | |
| YTHDF1 | |
| 2210410K23Rik; 8030473O16; C20orf21; DACA-1; DACA-1 homolog; Dermatomyositis associated with cancer putative autoantigen 1; dermatomyositis associated with cancer putative autoantigen 1 homolog; fb49c02; wu:fb49c02; wu:fi19h06; wu:fj87f09; wu:fp06c11; YTH domain family 1; YTH domain family protein 1; YTH domain family, member 1; YTH domain-containing family protein 1; YTH N(6)-methyladenosine RNA binding protein 1; YTH N6-methyladenosine RNA binding protein 1; Ythdf1; zgc:55657 | |
| Rabbit | |
| Protein A | |
| RUO | |
| 228994, 296467, 54915 | |
| Store at 4°C short term. For long term storage, store at -20°C, avoiding freeze/thaw cycles. | |
| Liquid |
Your input is important to us. Please complete this form to provide feedback related to the content on this product.