Learn More
Invitrogen™ ZBTB17 Polyclonal Antibody

Rabbit Polyclonal Antibody
Supplier: Invitrogen™ PA5121200
Description
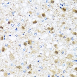
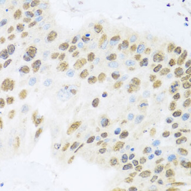
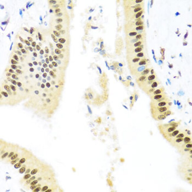
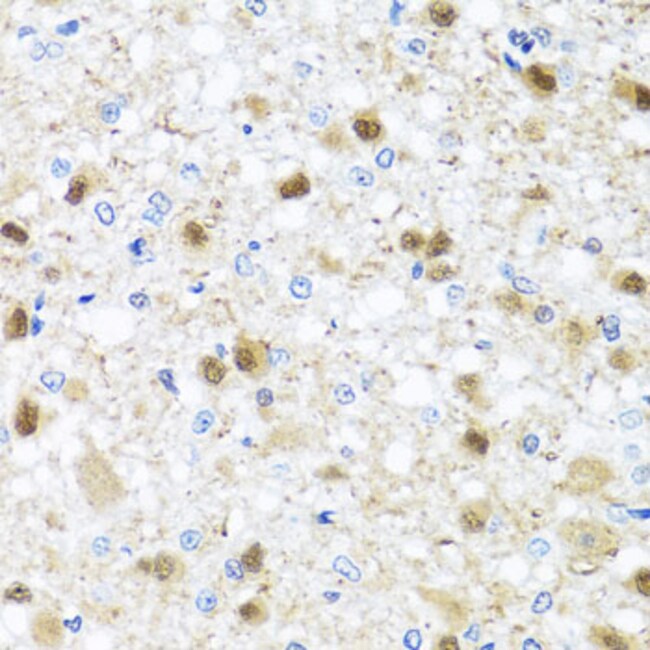
Positive test controls include: B cells, U-87MG, Hela. The target is usually found in the following locations: Nucleus. Immunogen sequence: PGGNAEALAT EGGDKRAKEE KVATSTLSRL EQAGRSTPIG PSRDLKEERG GQAQSAASGA EQTEKADAPR EPPPVELKPD PTSGMAAAEA EAALSESSEQ EMEVEPARKG EEEQKEQEEQ EEEGAGPAEV KEEGSQLENG EAPEENENEE SAGTDSGQEL GSEARGLRSG TYGDRTESKA YGSVIHKCED CGKEFTHTGN FKRHIRIHTG EKPFSCRECS KAFSDPAACK AHEKTHSPLK.
Transcription factor that can function as an activator or repressor depending on its binding partners, and by targeting negative regulators of cell cycle progression. Plays a critical role in early lymphocyte development, where it is essential to prevent apoptosis in lymphoid precursors, allowing them to survive in response to IL7 and undergo proper lineage commitment. Has been shown to bind to the promoters of adenovirus major late protein and cyclin D1 and activate transcription. Required for early embryonic development during gastrulation.
Specifications
| ZBTB17 | |
| Polyclonal | |
| Unconjugated | |
| ZBTB17 | |
| AA589413; LP-1; Miz1; Miz-1; Myc-interacting zinc finger protein 1; Myc-interacting Zn finger protein-1; mZ13; pHZ-67; Polyomavirus late initiator promoter-binding protein; ZBTB17; Zfp100; Zfp-100; zinc finger and BTB domain containing 17; zinc finger and BTB domain-containing protein 17; Zinc finger protein 100; zinc finger protein 151; zinc finger protein 151 (pHZ-67); zinc finger protein 60; Zinc finger protein Z13; ZNF151; ZNF60 | |
| Rabbit | |
| Affinity Chromatography | |
| RUO | |
| 22642, 313666, 7709 | |
| -20°C, Avoid Freeze/Thaw Cycles | |
| Liquid |
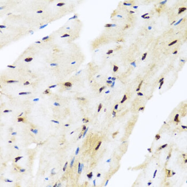
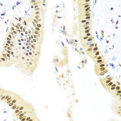
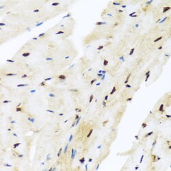
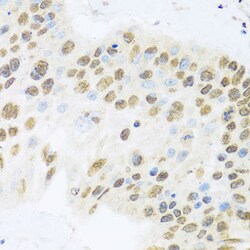
| ELISA, Immunohistochemistry (Paraffin), Western Blot | |
| 0.37 mg/mL | |
| PBS with 50% glycerol and 0.02% sodium azide; pH 7.3 | |
| Q13105, Q60821 | |
| ZBTB17 | |
| Recombinant fusion protein containing a sequence corresponding to amino acids 121-360 of human ZBTB17 (NP_003434.2). | |
| 100 μL | |
| Primary | |
| Human, Mouse, Rat | |
| Antibody | |
| IgG |
Your input is important to us. Please complete this form to provide feedback related to the content on this product.