Promotional price valid on web orders only. Your contract pricing may differ. Interested in signing up for a dedicated account number?
Learn More
Learn More
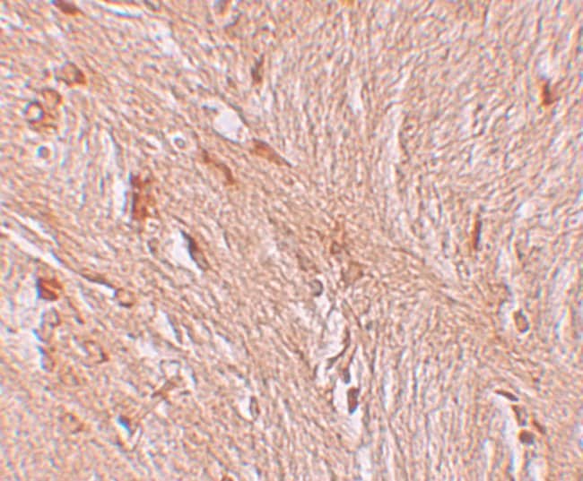
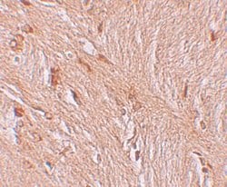
Invitrogen™ ZBTB3 Polyclonal Antibody

Rabbit Polyclonal Antibody
Supplier: Invitrogen™ PA521083
Description
A suggested positive control is rat brain tissue lysate. PA5-21083 can be used with blocking peptide PEP-1197.
The ZBTB family of proteins is comprised of diverse zinc finger proteins that also contain a BTB (BR-C, ttk and bab) domain. While little is known about ZBTB3, the related protein ZBTB2 is thought to be phosphorylated in response to the DNA damage, probably by either ATM or ATR. Other ZBTB proteins, such as ZBTB4 and ZBTB38 bind methylated DNA and repress transcription, suggesting that ZBTB3 may also act as a transcription repressor.
Specifications
| ZBTB3 | |
| Polyclonal | |
| Unconjugated | |
| ZBTB3 | |
| 4930563M09Rik; RGD1561140; ZBTB3; zinc finger and BTB domain containing 3; zinc finger and BTB domain-containing protein 3 | |
| Rabbit | |
| Antigen Affinity Chromatography | |
| RUO | |
| 499313, 75291, 79842 | |
| Maintain refrigerated at 2-8°C for up to 3 months. For long term storage store at -20°C | |
| Liquid |
| Immunohistochemistry, Western Blot | |
| 1 mg/mL | |
| PBS with 0.02% sodium azide | |
| Q91X45, Q9H5J0 | |
| ZBTB3 | |
| A 17 amino acid peptide near the carboxy terminus of human ZBTB3. | |
| 100 μg | |
| Primary | |
| Human, Mouse, Rat | |
| Antibody | |
| IgG |
Product Content Correction
Your input is important to us. Please complete this form to provide feedback related to the content on this product.
Product Title
Spot an opportunity for improvement?Share a Content Correction