Promotional price valid on web orders only. Your contract pricing may differ. Interested in signing up for a dedicated account number?
Learn More
Learn More
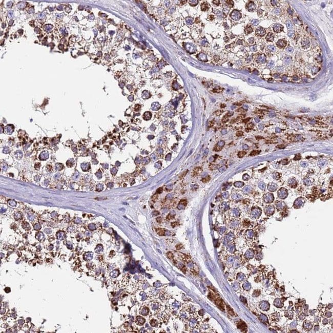
Invitrogen™ ZBTB39 Polyclonal Antibody

Rabbit Polyclonal Antibody
Supplier: Invitrogen™ PA553510
Description
Immunogen sequence: MCETKFFTQW QLTLHRRDGI FENNIIVHPN DPLPGKLGLF SGAASPELKC AACGKVLAKD FHVVRGHILD HLNLKGQACS VCDQRHLNLC SLMWHTLSHL GISV Highest antigen sequence identity to the following orthologs: Mouse - 88%, Rat - 92%.
ZBTB39 may be involved in transcriptional regulation.
Specifications
ZBTB39 | |
Polyclonal | |
Unconjugated | |
ZBTB39 | |
7030401O21Rik; KIAA0352; mKIAA0352; RGD1306532; ZBTB39; zinc finger and BTB domain containing 39; zinc finger and BTB domain-containing protein 39; ZNF922 | |
Rabbit | |
Antigen affinity chromatography | |
RUO | |
9880 | |
Store at 4°C short term. For long term storage, store at -20°C, avoiding freeze/thaw cycles. | |
Liquid |
Immunohistochemistry (Paraffin) | |
0.05 mg/mL | |
PBS with 40% glycerol and 0.02% sodium azide; pH 7.2 | |
O15060 | |
ZBTB39 | |
Recombinant protein corresponding to Human ZBTB39. Recombinant protein control fragment (Product #RP-91691). | |
100 μL | |
Primary | |
Human | |
Antibody | |
IgG |
Safety and Handling
WARNING: Cancer - www.P65Warnings.ca.gov
Product Content Correction
Your input is important to us. Please complete this form to provide feedback related to the content on this product.
Product Title
Spot an opportunity for improvement?Share a Content Correction