Promotional price valid on web orders only. Your contract pricing may differ. Interested in signing up for a dedicated account number?
Learn More

ZC3H11A Rabbit anti-Human, Polyclonal, Bethyl Laboratories

Rabbit Polyclonal Antibody

Supplier:  Bethyl Laboratories, Inc A301524A

Encompass_Preferred

Catalog No. 50-156-0607


May include imposed supplier surcharges.
Only null left
Add to Cart

Description

Description

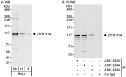
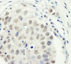
The recommended shelf life for this product is 1 year from date of receipt. Application Note: For IHC, epitope retrieval with citrate buffer pH 6.0 is recommended for FFPE tissue sections. Based on 100% sequence identity, this antibody is predicted to react with Orangutan

ZC3H11A (zinc finger CCCH domain-containing protein 11A), also known as KIAA0663 or ZC3HDC11A, is an 810 amino acid protein that contains 3 C3 H1-type zinc fingers. ZC3H11A is expressed in heart, brain, liver, skeletal muscle, kidney, pancreas, spleen, testis, ovary, fetal brain and fetal liver. The gene encoding ZC3H11A maps to human chromosome 1q32.1 and mouse chromosome 1 E4. Chromosome 1 is the largest human chromosome spanning about 260 million base pairs and making up 8% of the human genome. The rare aging disease Hutchinson-Gilford progeria is associated with the LMNA gene on chromosome 1 which encodes lamin A. When defective, the LMNA gene product can build up in the nucleus and cause characteristic nuclear blebs. Stickler syndrome, Parkinsons, Gaucher disease and Usher syndrome are also associated with chromosome 1.
Specifications

Specifications

ZC3H11A
Polyclonal
Unconjugated
ZC3H11A
Zinc finger CCCH domain-containing protein 11A, KIAA0663, ZC3HDC11A
Rabbit
Antigen affinity chromatography
RUO
9877
4° C
Liquid
Immunohistochemistry, Immunoprecipitation, Western Blot
0.2 mg/ml
TBS with 0.1% BSA and 0.09% sodium azide
O75152
ZC3H11A
Between 700 and 750
100 μL
Primary
Human
Antibody
IgG
Product Suggestions

Product Suggestions

Videos
SDS
Documents

Documents

Product Certifications
Promotions

Promotions

Product Content Correction

The Fisher Scientific Encompass Program offers items which are not part of our distribution portfolio. These products typically do not have pictures or detailed descriptions. However, we are committed to improving your shopping experience. Please use the form below to provide feedback related to the content on this product.

Product Title

By clicking Submit, you acknowledge that you may be contacted by Fisher Scientific in regards to the feedback you have provided in this form. We will not share your information for any other purposes. All contact information provided shall also be maintained in accordance with our Privacy Policy.

Your feedback has been submitted: Thank you for helping us improve our website.