Promotional price valid on web orders only. Your contract pricing may differ. Interested in signing up for a dedicated account number?
Learn More
Learn More
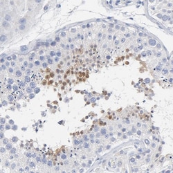
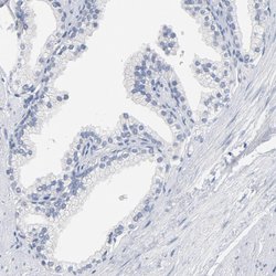
Invitrogen™ ZCCHC13 Polyclonal Antibody

Rabbit Polyclonal Antibody
Supplier: Invitrogen™ PA551918
Description
Immunogen sequence: AGGRRGGGHG RGSQCGSTTL SYTCYCCGES GRNAKNCVLL GNICYNCGRS GHIAKDCKDP KRERRQHCYT CGRLGHLARD CDRQKEQKCY SCGKLGHIQK DCAQVKCYRC Highest antigen sequence identity to the following orthologs: Mouse - 66%, Rat - 65%.
This gene appears to represent an intronless retrocopy of a related multi-exon gene located on chromosome 3. However, the CDS of this intronless gene remains relatively intact, it is conserved in other mammalian species, it is known to be transcribed, and it is therefore thought to encode a functional protein. The encoded protein contains six CCHC-type zinc fingers, and is thus thought to function as a transcription factor. [provided by RefSeq, May 2010].
Specifications
| ZCCHC13 | |
| Polyclonal | |
| Unconjugated | |
| ZCCHC13 | |
| CNBP2; ZCCHC13; Zinc finger CCHC domain-containing protein 13; zinc finger CCHC-type containing 13; zinc finger, CCHC domain containing 13; ZNF9L | |
| Rabbit | |
| Antigen affinity chromatography | |
| RUO | |
| 389874 | |
| Store at 4°C short term. For long term storage, store at -20°C, avoiding freeze/thaw cycles. | |
| Liquid |
| Immunohistochemistry (Paraffin), Western Blot | |
| 0.05 mg/mL | |
| PBS with 40% glycerol and 0.02% sodium azide; pH 7.2 | |
| Q8WW36 | |
| ZCCHC13 | |
| Recombinant protein corresponding to Human ZCCHC13. Recombinant protein control fragment (Product #RP-92270). | |
| 100 μL | |
| Primary | |
| Human | |
| Antibody | |
| IgG |
Safety and Handling
WARNING: Cancer - www.P65Warnings.ca.gov
Product Content Correction
Your input is important to us. Please complete this form to provide feedback related to the content on this product.
Product Title
Spot an opportunity for improvement?Share a Content Correction