Promotional price valid on web orders only. Your contract pricing may differ. Interested in signing up for a dedicated account number?
Learn More
Learn More
Invitrogen™ ZDHHC18 Polyclonal Antibody

Rabbit Polyclonal Antibody
Supplier: Invitrogen™ PA5116614
Description
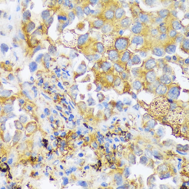
Positive Samples: Raji, HeLa, Mouse brain, Rat brain Immunogen sequence: YLVASNLTTN EDIKGSWSSK RGGEASVNPY SHKSIITNCC AVLCGPLPPS LIDRRGFVQS DTVLPSPIRS DEPACRAKPD ASMVGGHP.
Zinc-finger proteins contain DNA-binding domains and have a wide variety of functions, most of which encompass some form of transcriptional activation or repression. ZDHHC1 (zinc finger, DHHC-type containing 1), also known as ZNF377 (zinc finger protein 377) or C16orf1, is a 485 amino acid multi-pass membrane protein that contains one DHHC-type zinc finger. Expressed in fetal heart, lung and kidney and also present in adult lung and pancreas, ZDHHC1 functions as a palmitoyltransferase that catalyzes the conversion of palmitoyl-CoA and protein-cysteine to S-palmitoyl protein and CoA. Like ZDHHC1, ZDHHC5, ZDHHC6, ZDHHC7 and ZDHHC18 each contain one DHHC-type zinc finger through which they convey palmitoyltransferase activity against a broad range of substrates, including H-Ras, SNAP 25 and GABAA R proteins.
Specifications
| ZDHHC18 | |
| Polyclonal | |
| Unconjugated | |
| ZDHHC18 | |
| DHHC18; DHHC-18; membrane-associated DHHC18 zinc finger protein; palmitoyltransferase ZDHHC18; Zdhhc18; Zinc finger DHHC domain-containing protein 18; zinc finger DHHC-type containing 18; zinc finger, DHHC domain containing 18; zinc finger, DHHC-type containing 18 | |
| Rabbit | |
| Affinity chromatography | |
| RUO | |
| 362613, 503610, 84243 | |
| -20°C, Avoid Freeze/Thaw Cycles | |
| Liquid |
| ELISA, Immunohistochemistry (Paraffin), Western Blot | |
| 0.99 mg/mL | |
| PBS with 50% glycerol and 0.09% sodium azide; pH 7.3 | |
| Q2TGJ1, Q5Y5T2, Q9NUE0 | |
| ZDHHC18 | |
| Recombinant fusion protein containing a sequence corresponding to amino acids 301-388 of human ZDHHC18 (NP_1156591). | |
| 100 μL | |
| Primary | |
| Human, Mouse, Rat | |
| Antibody | |
| IgG |
Product Content Correction
Your input is important to us. Please complete this form to provide feedback related to the content on this product.
Product Title
Spot an opportunity for improvement?Share a Content Correction