Promotional price valid on web orders only. Your contract pricing may differ. Interested in signing up for a dedicated account number?
Learn More
Learn More
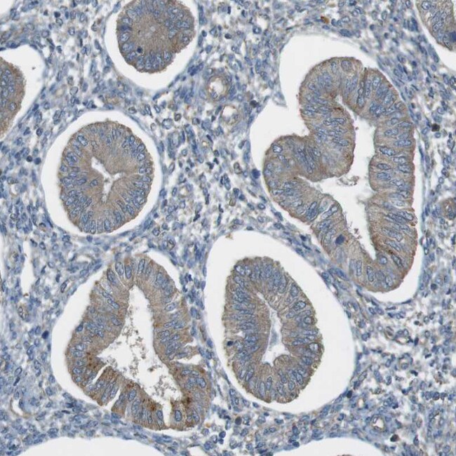
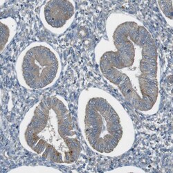
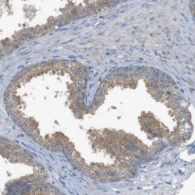
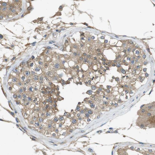
Invitrogen™ ZDHHC20 Polyclonal Antibody

Rabbit Polyclonal Antibody
Supplier: Invitrogen™ PA553217
Description
Immunogen sequence: SSLGDGCSFP TRLVGMDPEQ ASVTNQNEYA RSSGSNQPFP IKPLSESKNR LLDSESQWLE NGAEEGIVKS GTNNHVTVAI E Highest antigen sequence identity to the following orthologs: Mouse - 89%, Rat - 93%.
Catalyzes palmitoylation of Cys residues on target proteins (PubMed:27153536, PubMed:29326245). Catalyzes palmitoylation of Cys residues in the cytoplasmic C-terminus of EGFR, and modulates the duration of EGFR signaling by modulating palmitoylation-dependent EGFR internalization and degradation (PubMed:27153536). Has a preference for acyl-CoA with C16 fatty acid chains (PubMed:29326245). Can also utilize acyl-CoA with C14 and C18 fatty acid chains (PubMed:29326245). [UniProt].
Specifications
ZDHHC20 | |
Polyclonal | |
Unconjugated | |
ZDHHC20 | |
4933421L13Rik; 5033406L14Rik; AI448102; B230110O18Rik; DHHC-20; DHHC-containing protein 20; HK11; membrane-associated DHHC24 zinc finger protein; Palmitoyltransferase ZDHHC20; probable palmitoyltransferase ZDHHC20; RGD1305755; ZDHHC20; Zinc finger DHHC domain-containing protein 20; zinc finger DHHC-type containing 20; zinc finger, DHHC domain containing 20; zinc finger, DHHC-type containing 20 | |
Rabbit | |
Antigen affinity chromatography | |
RUO | |
253832 | |
Store at 4°C short term. For long term storage, store at -20°C, avoiding freeze/thaw cycles. | |
Liquid |
Immunohistochemistry (Paraffin) | |
0.1 mg/mL | |
PBS with 40% glycerol and 0.02% sodium azide; pH 7.2 | |
Q5W0Z9 | |
ZDHHC20 | |
Recombinant protein corresponding to Human ZDHHC20. Recombinant protein control fragment (Product #RP-91188). | |
100 μL | |
Primary | |
Human | |
Antibody | |
IgG |
Product Content Correction
Your input is important to us. Please complete this form to provide feedback related to the content on this product.
Product Title
Spot an opportunity for improvement?Share a Content Correction