Promotional price valid on web orders only. Your contract pricing may differ. Interested in signing up for a dedicated account number?
Learn More
Learn More
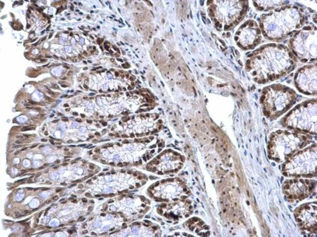
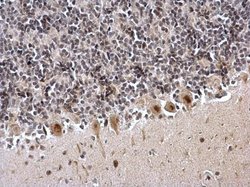
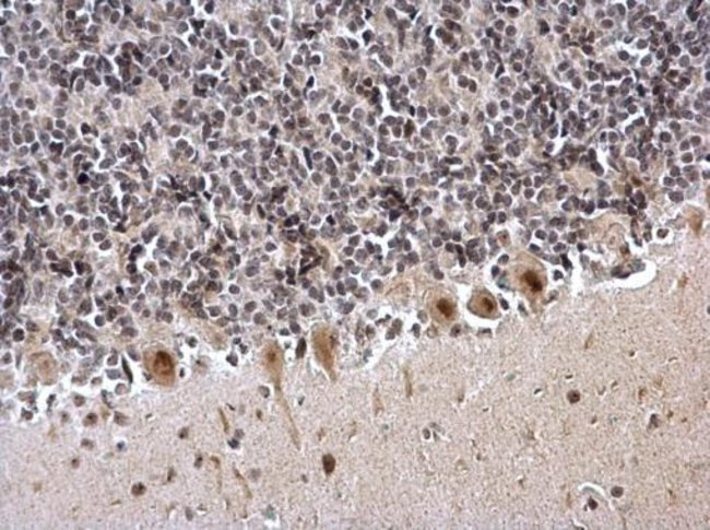
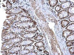
Invitrogen™ ZFP82 Polyclonal Antibody
Rabbit Polyclonal Antibody
Supplier: Invitrogen™ PA536011
Description
Store product as a concentrated solution. Centrifuge briefly prior to opening the vial. Predicted reactivity: Mouse (91%).
ZFP82 is a protein coding gene, and may be involved in transcriptional regulation.
Specifications
ZFP82 | |
Polyclonal | |
Unconjugated | |
ZFP82 | |
A030010D05; Kiaa1948; Krab16; Mszf3; ZFP82; Zfp-82; ZFP82 zinc finger protein; zinc finger protein 545; Zinc finger protein 82; zinc finger protein 82 homolog; zinc finger protein 85; ZNF545 | |
Rabbit | |
Antigen affinity chromatography | |
RUO | |
100910231, 284406, 330502 | |
Store at 4°C short term. For long term storage, store at -20°C, avoiding freeze/thaw cycles. | |
Liquid |
Immunohistochemistry (Paraffin), Immunocytochemistry | |
0.89 mg/mL | |
PBS with 20% glycerol and 0.01% thimerosal; pH 7 | |
Q6P9Y7, Q8N141 | |
ZFP82 | |
Recombinant protein encompassing a sequence within the center region of human ZFP82. The exact sequence is proprietary. | |
100 μL | |
Primary | |
Human, Mouse, Rat | |
Antibody | |
IgG |
Product Content Correction
Your input is important to us. Please complete this form to provide feedback related to the content on this product.
Product Title
Spot an opportunity for improvement?Share a Content Correction