Promotional price valid on web orders only. Your contract pricing may differ. Interested in signing up for a dedicated account number?
Learn More
Learn More
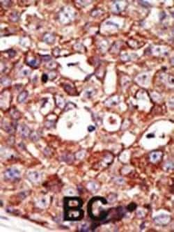
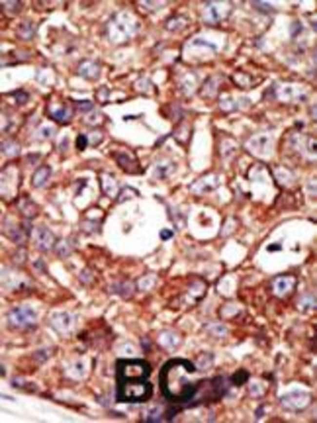
Invitrogen™ ZMPSTE24 Polyclonal Antibody

Rabbit Polyclonal Antibody
Supplier: Invitrogen™ PA512160
Description
ZMPSTE24 Polyclonal Antibody for Western Blot, IHC (P)
This gene encodes a member of the peptidase M48A family. The encoded protein is a zinc metalloproteinase involved in the two step post-translational proteolytic cleavage of carboxy terminal residues of farnesylated prelamin A to form mature lamin A. Mutations in this gene have been associated with mandibuloacral dysplasia and restrictive dermopathy.
Specifications
ZMPSTE24 | |
Polyclonal | |
Unconjugated | |
ZMPSTE24 | |
A530043O15Rik; CAAX prenyl protease 1 homolog; D030046F19; Face1; Face-1; Farnesylated proteins-converting enzyme 1; farnesylated-proteins converting enzyme 1; fi45a02; FLJ14968; HGPS; MADB; Prenyl protein-specific endoprotease 1; PRO1; STE24; Ste24p; wu:fi45a02; zgc:55655; zinc metallopeptidase STE24; zinc metallopeptidase STE24 homolog; zinc metallopeptidase, STE24; zinc metallopeptidase, STE24 homolog; zinc metalloproteinase (STE24 homolog, yeast); zinc metalloproteinase Ste24 homolog; zinc metalloproteinase, STE24 homolog; Zmpste24 | |
Rabbit | |
Ammonium sulfate precipitation, Size-exclusion - Dialysis | |
RUO | |
10269 | |
Store at 4°C short term. For long term storage, store at -20°C, avoiding freeze/thaw cycles. | |
Liquid |
Immunohistochemistry (Paraffin), Western Blot | |
2 mg/mL | |
PBS with 0.09% sodium azide; pH 7.4 | |
O75844 | |
ZMPSTE24 | |
KLH conjugated synthetic peptide between 400-430 amino acids from the central region of human ZMPSTE24. | |
400 μL | |
Primary | |
Human, Mouse | |
Antibody | |
IgG |
Safety and Handling
WARNING: Cancer - www.P65Warnings.ca.gov
Product Content Correction
Your input is important to us. Please complete this form to provide feedback related to the content on this product.
Product Title
Spot an opportunity for improvement?Share a Content Correction