Promotional price valid on web orders only. Your contract pricing may differ. Interested in signing up for a dedicated account number?
Learn More
Learn More
Invitrogen™ ZN827 Polyclonal Antibody

Rabbit Polyclonal Antibody
Supplier: Invitrogen™ PA554340
Description
Immunogen sequence: LNVQFVSHMS LHVDKEQWMF SICCTACDFV TMEEAEIKTH IGTKHTGEDR KTPSESNSPS SSSLSALSDS ANSKDDSDGS QKNKGGNNLL VISVMP Highest antigen sequence identity to the following orthologs: Mouse - 95%, Rat - 93%.
ZNF827 gene ontology annotations related to this gene include nucleic acid binding.
Specifications
| ZN827 | |
| Polyclonal | |
| Unconjugated | |
| ZNF827 | |
| si:ch211-215c3.2; Zinc finger protein 827; ZNF827 | |
| Rabbit | |
| Antigen affinity chromatography | |
| RUO | |
| 152485 | |
| Store at 4°C short term. For long term storage, store at -20°C, avoiding freeze/thaw cycles. | |
| Liquid |
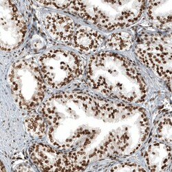
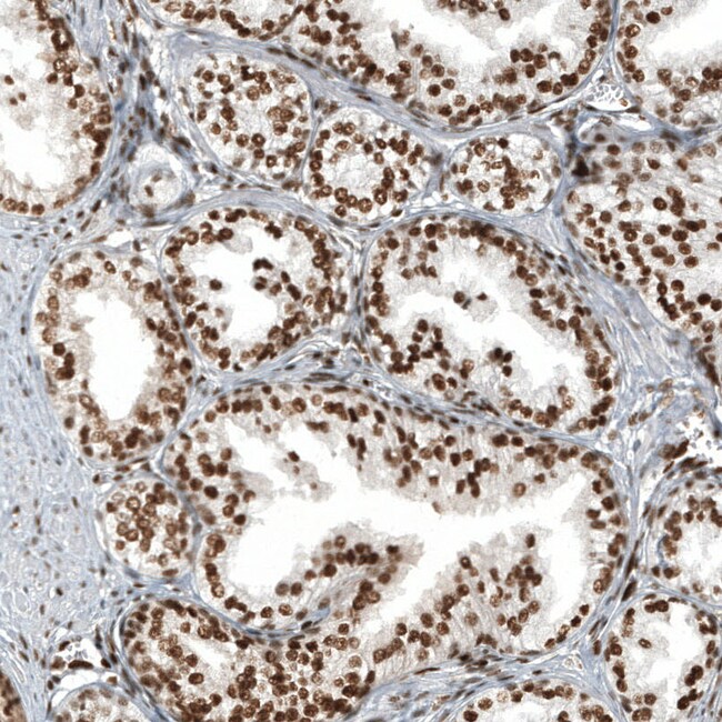
| Immunohistochemistry (Paraffin), Immunocytochemistry | |
| 0.20 mg/mL | |
| PBS with 40% glycerol and 0.02% sodium azide; pH 7.2 | |
| Q17R98 | |
| ZNF827 | |
| Recombinant protein corresponding to Human ZN827. Recombinant protein control fragment (Product #RP-93584). | |
| 100 μL | |
| Primary | |
| Human | |
| Antibody | |
| IgG |
Product Content Correction
Your input is important to us. Please complete this form to provide feedback related to the content on this product.
Product Title
Spot an opportunity for improvement?Share a Content Correction