Promotional price valid on web orders only. Your contract pricing may differ. Interested in signing up for a dedicated account number?
Learn More
Learn More
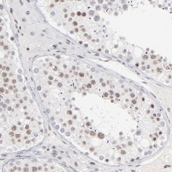
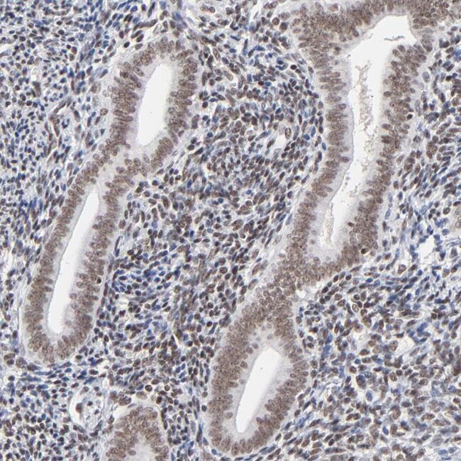
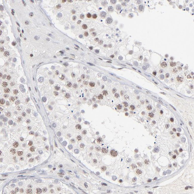
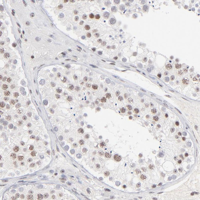
Invitrogen™ ZNF143 Polyclonal Antibody

Rabbit Polyclonal Antibody
Supplier: Invitrogen™ PA551877
Description
Immunogen sequence: TQSGLSQQVT LISQDGTQHV NISQADMQAI GNTITMVTQD GTPITVPAHD AVISSAGTHS VAMVTAEGTE GQQVAIVAQD LAAFHTASSE MGHQQHSHHL VTTETRPLTL VATSNGTQIA VQLGEQPSLE EAIRIASRIQ QGET Highest antigen sequence identity to the following orthologs: Mouse - 99%, Rat - 98%.
Transcriptional activator. Activates the gene for selenocysteine tRNA (tRNAsec). Binds to the SPH motif of small nuclear RNA (snRNA) gene promoters. Participates in efficient U6 RNA polymerase III transcription via its interaction with CHD8.
Specifications
| ZNF143 | |
| Polyclonal | |
| Unconjugated | |
| ZNF143 | |
| AA959806; AU015869; D7Ertd805e; hStaf; KRAB14; mStaf; pHZ-1; SBF; selenocysteine tRNA activating factor; selenocysteine tRNA gene transcription activating factor; selenocysteine tRNA gene transcription-activating factor; si:dkey-8l13.2; SPH-binding factor; staf; transcriptional activator Staf; Zfp143; zfp-143; Zfp79; Zfp80-rs1; zgc:66276; zinc finger protein 143; zinc finger protein 143b; zinc finger protein 80, related sequence 1; znf143; znf143b | |
| Rabbit | |
| Antigen affinity chromatography | |
| RUO | |
| 7702 | |
| Store at 4°C short term. For long term storage, store at -20°C, avoiding freeze/thaw cycles. | |
| Liquid |
| Immunohistochemistry (Paraffin) | |
| 0.1 mg/mL | |
| PBS with 40% glycerol and 0.02% sodium azide; pH 7.2 | |
| P52747 | |
| ZNF143 | |
| Recombinant protein corresponding to Human ZNF143. Recombinant protein control fragment (Product #RP-100739). | |
| 100 μL | |
| Primary | |
| Human | |
| Antibody | |
| IgG |
Safety and Handling
WARNING: Cancer - www.P65Warnings.ca.gov
Product Content Correction
Your input is important to us. Please complete this form to provide feedback related to the content on this product.
Product Title
Spot an opportunity for improvement?Share a Content Correction