Promotional price valid on web orders only. Your contract pricing may differ. Interested in signing up for a dedicated account number?
Learn More
Learn More
ZNF148 Polyclonal Antibody

ZNF148 Polyclonal Antibody
Supplier: Thermo Scientific PA551620
Description
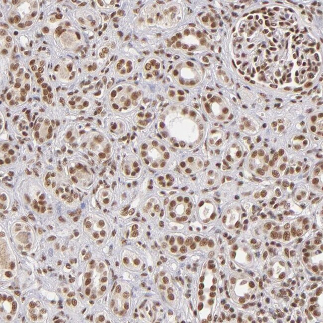
ZNF148 Polyclonal Antibody for ICC/IF, IHC
Specifications
| ZNF148 | |
| Polyclonal | |
| Unconjugated | |
| ZNF148 | |
| 2210405J08Rik; AI480666; AW045217; BERF-1; Beta enolase repressor factor 1; BFCOL1; CACCC box-binding protein; CLL-associated antigen KW-10; fb06h05; G-rich box-binding protein; HT-BETA; pHZ-52; si:dkey-101k6.6; transcription factor; transcription factor BFCOL1; Transcription factor ZBP-89; wu:fb06h05; Zbp89; ZBP-89; Zfp148; zfp149; zgc:165342; zinc finger binding protein 89; zinc finger DNA binding protein 89; zinc finger DNA-binding protein 89; Zinc finger protein 148; znf148 | |
| Rabbit | |
| Antigen Affinity Chromatography | |
| RUO | |
| 7707 | |
| Store at 4°C short term. For long term storage, store at -20°C, avoiding freeze/thaw cycles. | |
| Liquid |
| Immunohistochemistry (Paraffin), Immunocytochemistry | |
| 0.1 mg/mL | |
| PBS with 40% glycerol and 0.02% sodium azide; pH 7.2 | |
| Q9UQR1 | |
| ZNF148 | |
| Recombinant protein corresponding to Human ZNF148. Recombinant protein control fragment (Product #RP-100702). | |
| 100 μL | |
| Primary | |
| Human | |
| Antibody | |
| IgG |
Product Content Correction
Your input is important to us. Please complete this form to provide feedback related to the content on this product.
Product Title
Spot an opportunity for improvement?Share a Content Correction