Promotional price valid on web orders only. Your contract pricing may differ. Interested in signing up for a dedicated account number?
Learn More
Learn More
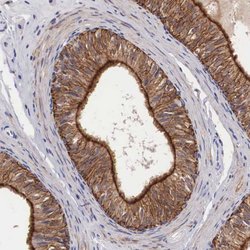
Invitrogen™ ZNF185 Polyclonal Antibody

Rabbit Polyclonal Antibody
Supplier: Invitrogen™ PA551381
Description
Immunogen sequence: PADPSTPEQQ NSPSGSEQFV RRESCTSRVR SPSSCMVTVT VTATSEQPHI YIPAPASELD SSSTTKGILF VKEYVNASEV SSGKPVSARY SNVSSIEDSF AMEKKPPCGS T Highest antigen sequence identity to the following orthologs: Mouse - 58%, Rat - 53%.
ZNF185 encodes a LIM-domain zinc finger protein. These proteins are thought to be involved in protein-protein interactions.
Specifications
ZNF185 | |
Polyclonal | |
Unconjugated | |
ZNF185 | |
LIM domain protein Zfp185; LIM domain protein ZNF185; P1; P1-A; SCELL; sciellin like; Zfp185; Zinc finger protein 185; zinc finger protein 185 (LIM domain); zinc finger protein 185 with LIM domain; Znf185 | |
Rabbit | |
Antigen affinity chromatography | |
RUO | |
7739 | |
Store at 4°C short term. For long term storage, store at -20°C, avoiding freeze/thaw cycles. | |
Liquid |
Immunohistochemistry (Paraffin) | |
0.2 mg/mL | |
PBS with 40% glycerol and 0.02% sodium azide; pH 7.2 | |
O15231 | |
ZNF185 | |
Recombinant protein corresponding to Human ZNF185. Recombinant protein control fragment (Product #RP-93692). | |
100 μL | |
Primary | |
Human | |
Antibody | |
IgG |
Safety and Handling
WARNING: Cancer - www.P65Warnings.ca.gov
Product Content Correction
Your input is important to us. Please complete this form to provide feedback related to the content on this product.
Product Title
Spot an opportunity for improvement?Share a Content Correction