Promotional price valid on web orders only. Your contract pricing may differ. Interested in signing up for a dedicated account number?
Learn More
Learn More
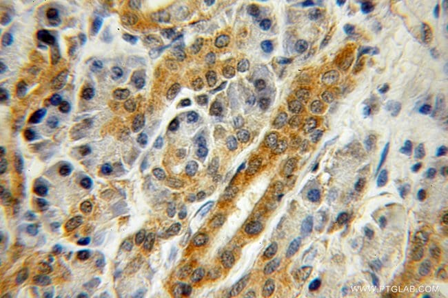
ZNF2 Rabbit anti-Human, Mouse, Rat, Polyclonal, Proteintech

Rabbit Polyclonal Antibody
Supplier: Proteintech Group Inc 112821AP150UL

Description
The ZNF2 gene is part of a sub-family of structurally related finger protein genes. Members of this sub-family are expressed as multiple transcripts in several cell lines.Specifications
ZNF2 | |
Polyclonal | |
Unconjugated | |
ZNF2 | |
A1 5, Zfp661, zinc finger protein 2, Zinc finger protein 2.2, Zinc finger protein 661, ZNF2, ZNF661 | |
Rabbit | |
Antigen Affinity Chromatography | |
RUO | |
497897, 72180, 7549 | |
-20°C | |
Liquid |
Immunohistochemistry (Paraffin), Western Blot | |
0.37 mg/mL | |
PBS with 50% glycerol and 0.1% sodium azide; pH 7.3 | |
Q8BIQ3, Q9BSG1 | |
Zfp2, Znf2 | |
ZNF2 Fusion Protein Ag1796 | |
150 μL | |
Primary | |
Human, Mouse, Rat | |
Antibody | |
IgG |
Product Content Correction
The Fisher Scientific Encompass Program offers items which are not part of our distribution portfolio. These products typically do not have pictures or detailed descriptions. However, we are committed to improving your shopping experience. Please use the form below to provide feedback related to the content on this product.
Product Title
Spot an opportunity for improvement?Share a Content Correction