Promotional price valid on web orders only. Your contract pricing may differ. Interested in signing up for a dedicated account number?
Learn More
Learn More
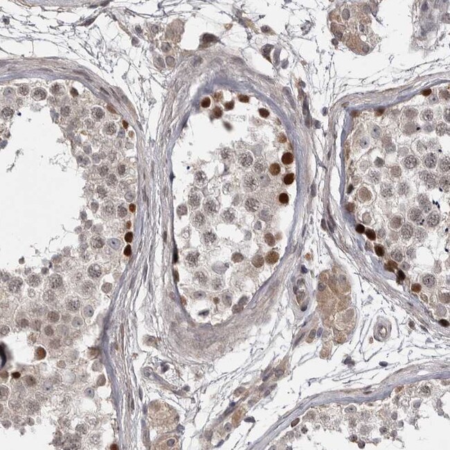
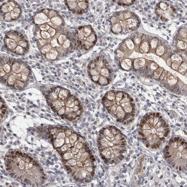
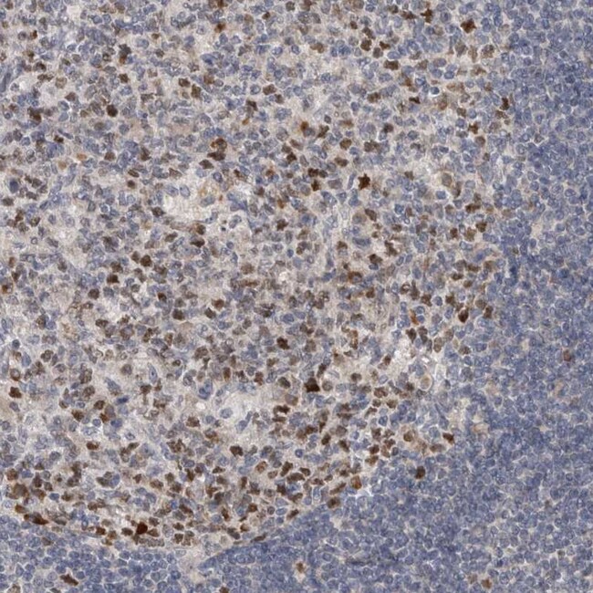
Invitrogen™ ZNF277 Polyclonal Antibody

Rabbit Polyclonal Antibody
Supplier: Invitrogen™ PA555577
Description
Immunogen sequence: FPVAEQDKLL KHMIIEHKIV IADVKLVADF QRYILYWRKR FTEQPITDFC SVIRINSTAP FEEQENYFLL CDVLPEDRIL REELQKQRLR EILEQQQQER NDTNFHGVCM FCNEEFLGNR SVILNH Highest antigen sequence identity to the following orthologs: Mouse - 88%, Rat - 93%.
ZNF277 (Zinc Finger Protein 277) is a Protein Coding gene. Diseases associated with ZNF277 includeSpecific Language ImpairmentandSpeech And Communication Disorders. Gene Ontology (GO) annotations related to this gene includeRNA polymerase II core promoter sequence specific DNA binding.
Specifications
| ZNF277 | |
| Polyclonal | |
| Unconjugated | |
| ZNF277 | |
| NRIF4; Nuclear receptor-interacting factor 4; zinc finger protein (C2H2 type) 277; zinc finger protein 277; zinc finger protein 277 pseudogene; ZNF277; ZNF277P | |
| Rabbit | |
| Antigen affinity chromatography | |
| RUO | |
| 11179 | |
| Store at 4°C short term. For long term storage, store at -20°C, avoiding freeze/thaw cycles. | |
| Liquid |
| Immunohistochemistry (Paraffin), Immunocytochemistry | |
| 0.20 mg/mL | |
| PBS with 40% glycerol and 0.02% sodium azide; pH 7.2 | |
| Q9NRM2 | |
| ZNF277 | |
| Recombinant protein corresponding to Human ZNF277. Recombinant protein control fragment (Product #RP-89439). | |
| 100 μL | |
| Primary | |
| Human | |
| Antibody | |
| IgG |
Safety and Handling
WARNING: Cancer - www.P65Warnings.ca.gov
Product Content Correction
Your input is important to us. Please complete this form to provide feedback related to the content on this product.
Product Title
Spot an opportunity for improvement?Share a Content Correction