Learn More
Invitrogen™ ZNF313 Polyclonal Antibody

Description
Immunogen sequence: SALAPGVRAV ELERQIESTE TSCHGCRKNF FLSKIRSHVA TCSKYQNYIM EGVKATIKDA SLQPRNVPNR YTFPCPYCPE KNFDQEGLVE HCKLFHSTDT KSVVCPICAS MPW Highest antigen sequence identity to the following orthologs: Mouse - 93%, Rat - 91%.
Specifications
Specifications
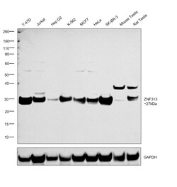
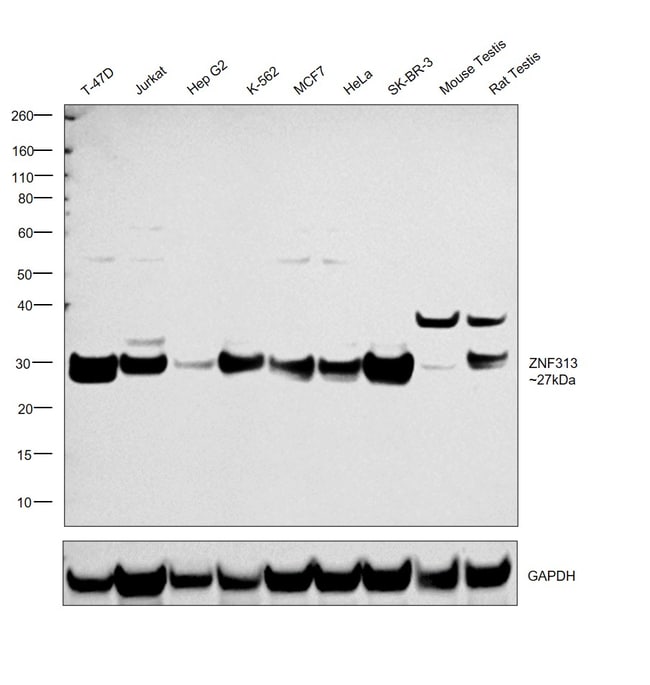
| Antigen | ZNF313 |
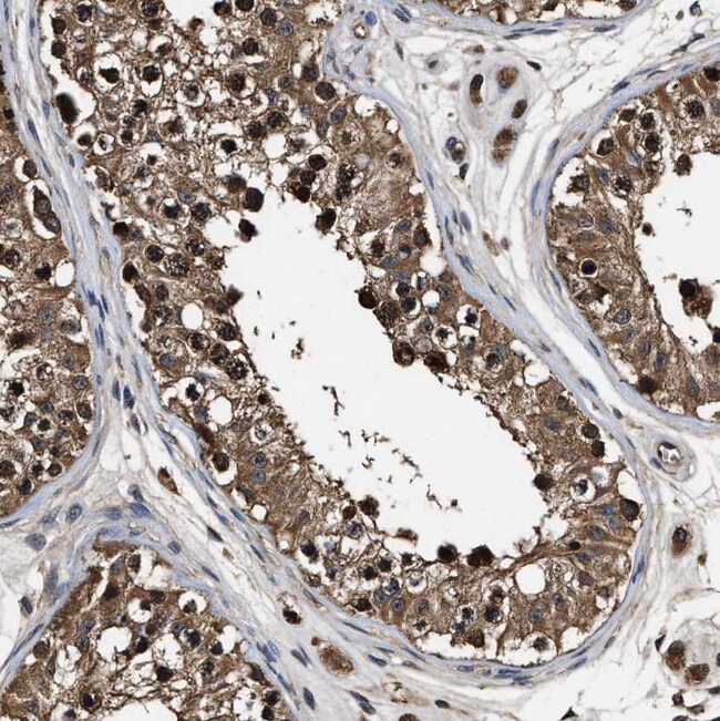
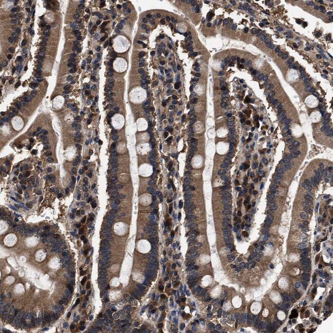
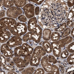
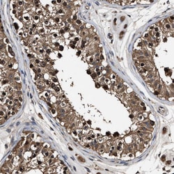
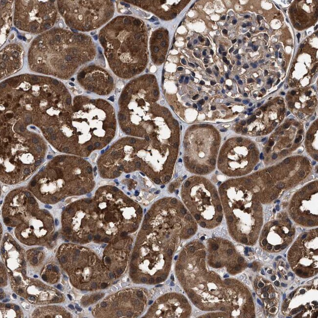
| Applications | Immunohistochemistry (Paraffin), Western Blot, Immunocytochemistry |
| Classification | Polyclonal |
| Concentration | 0.2 mg/mL |
| Conjugate | Unconjugated |
| Formulation | PBS with 40% glycerol and 0.02% sodium azide; pH 7.2 |
| Gene | RNF114 |
| Gene Accession No. | Q6J2U6, Q9ET26, Q9Y508 |
| Gene Alias | 1110008J21Rik; AI225886; AW549494; E3 ubiquitin-protein ligase RNF114; PSORS12; RING finger protein 114; RING-type E3 ubiquitin transferase RNF114; RNF114; Zfp228; Zfp313; Zinc finger protein 228; zinc finger protein 313; ZNF228; Znf313 |
| Gene Symbols | RNF114 |
| Show More |
By clicking Submit, you acknowledge that you may be contacted by Fisher Scientific in regards to the feedback you have provided in this form. We will not share your information for any other purposes. All contact information provided shall also be maintained in accordance with our Privacy Policy.