Promotional price valid on web orders only. Your contract pricing may differ. Interested in signing up for a dedicated account number?
Learn More
Learn More
ZNF318 Polyclonal Antibody

ZNF318 Polyclonal Antibody
Supplier: Thermo Scientific PA555486
Description
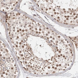
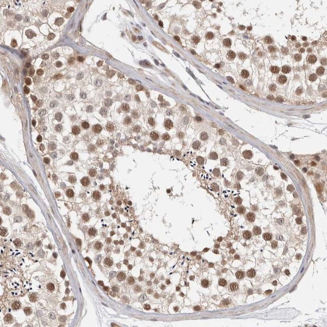
ZNF318 Polyclonal Antibody for IHC

Specifications
ZNF318 | |
Polyclonal | |
Unconjugated | |
ZNF318 | |
2610034E08Rik; D530032D06Rik; endocrine regulator; endocrine regulatory protein; HRIHFB2436; testicular zinc finger; testicular zinc finger protein; Tzf; ZFP318; Zinc finger protein 318; Znf318 | |
Rabbit | |
Antigen affinity chromatography | |
RUO | |
24149 | |
Store at 4°C short term. For long term storage, store at -20°C, avoiding freeze/thaw cycles. | |
Liquid |
Immunohistochemistry (Paraffin) | |
0.05 mg/mL | |
PBS with 40% glycerol and 0.02% sodium azide; pH 7.2 | |
Q5VUA4 | |
ZNF318 | |
Recombinant protein corresponding to Human ZNF318. Recombinant protein control fragment (Product #RP-91660). | |
100 μL | |
Primary | |
Human | |
Antibody | |
IgG |
Product Content Correction
Your input is important to us. Please complete this form to provide feedback related to the content on this product.
Product Title
Spot an opportunity for improvement?Share a Content Correction